Minkyu Song/송민규
Minkyu Song/송민규
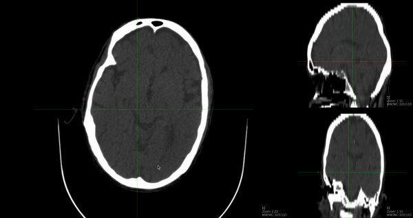
### Description Folks, I implemented a plugin brush tool that shows segmentation of axial, coronal, and sagittal simultaneously. This uses [cornerstone-side-image-loader](https://github.com/plantarflex/cornerstoneSideImageLoader) which was also implemented to do multiplanar-reconstruction(MPR) new sagittal...
I implemented a synchronized brush for stacked images that shows real-time segmentation of axial, coronal, and sagittal views. It goes like this:  This inherits BaseBrushTool of latest version, but...
remove functionally redundant legacy that generates min and maxPixelValue for side images