Chris Gorgolewski
Chris Gorgolewski
I think everything seems relevant with exception of "Contributing" section which has content specific to the bids starter kit repository.
Great! Looking forward! BTW I think link to Neurostars is there: 
Just to clarify: is this what we think users are doing or what we would like users to do?
+1 for a default that is closer to HIPAA and a command line switch that turns back storing the dates. On Sep 25, 2017 1:39 AM, "Russ Poldrack" wrote: From...
Oh common - things don't have to be all or nothing. The same way adding some test to a project is a good idea even if you don't have 100%...
TODO - test on WSL2
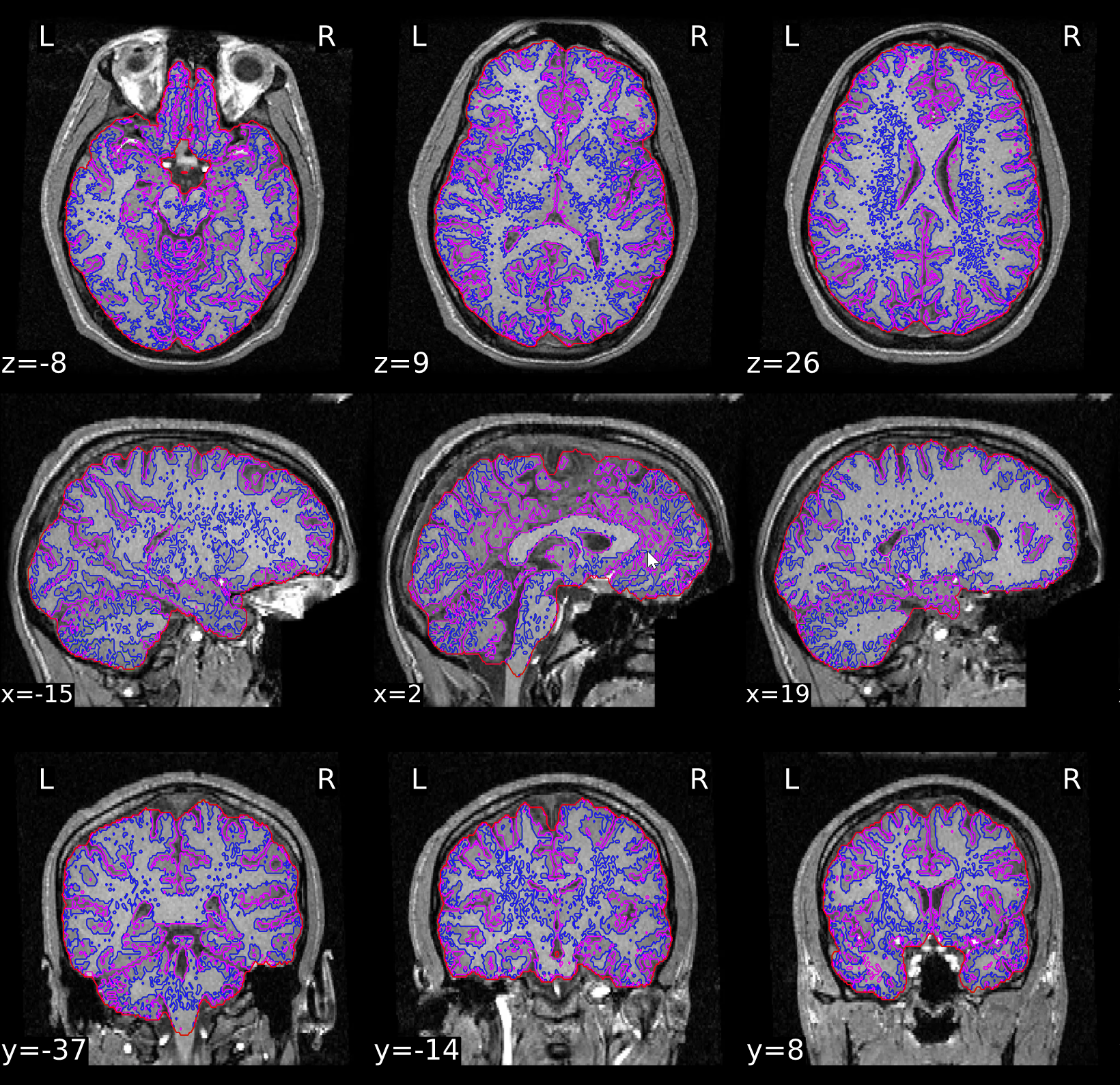
 ds000108/reportlets/fmriprep/sub-24/anat/sub-24_T1w
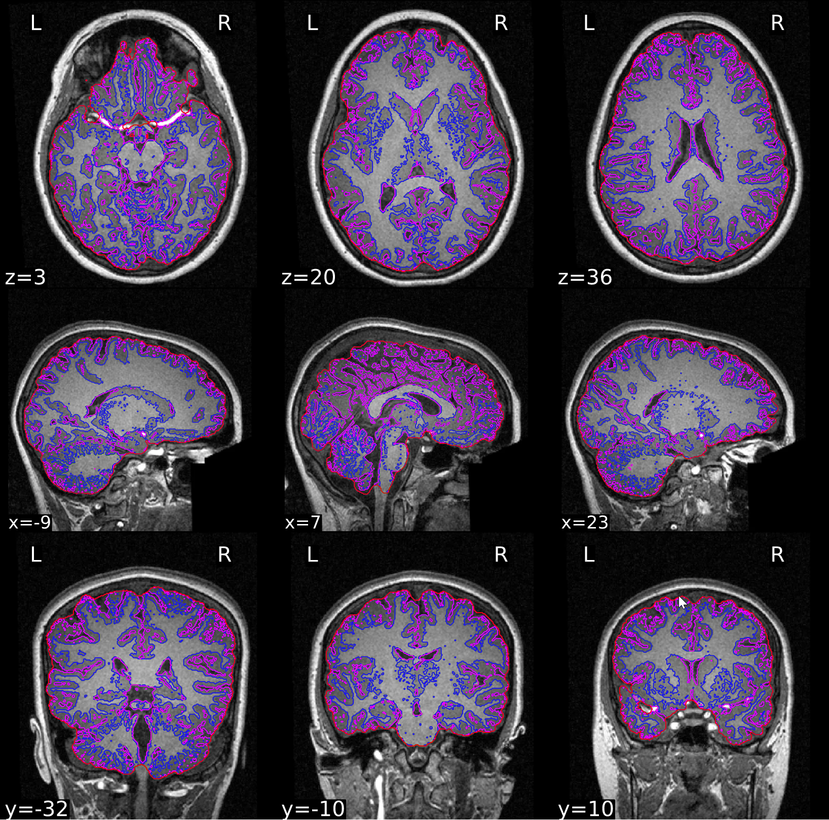
 ds000119/reportlets/fmriprep/sub-26/anat/sub-26_T1w_seg_brainmask.svg
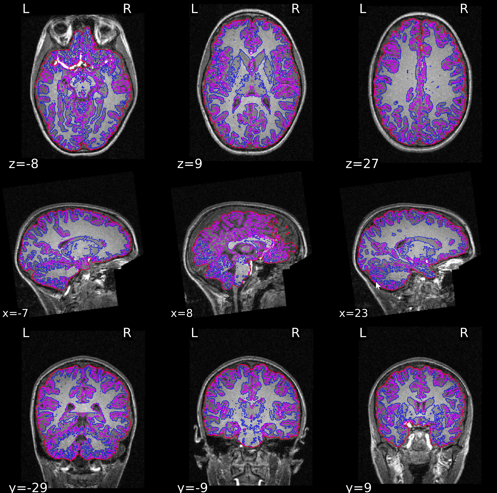
 ds000121/reportlets/fmriprep/sub-01/anat/sub-01_T1w_seg_brainmask.svg
As I mentioned above I'm pretty sure applying DenoiseImage will solve this (I tested it a while ago - see https://github.com/poldracklab/mriqc/issues/497), but a) the ANTs implementation is slow (at least...