can NOT reproduce results in example
First thanks for your sharing!
We could not reproduce the affine registration results shown on https://simpleelastix.readthedocs.io/AffineRegistration.html
The result image looks quite different from the result image on that page.
Could you please help to clarify? Thanks.

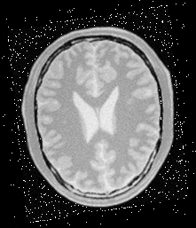
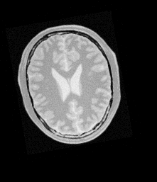
Can you post the code you used to obtain you result? The image above looks like the moving image, not the result image.
The salt noise may be an artifact of converting between types but it is difficult to say to without seeing the code.
import SimpleITK as sitk
elastixImageFilter = sitk.ElastixImageFilter() #elastixImageFilter.SetFixedImage(sitk.ReadImage("fixedImage.nii") elastixImageFilter.SetFixedImage(sitk.ReadImage("BrainProtonDensity.png",sitk.sitkFloat32)) #elastixImageFilter.SetMovingImage(sitk.ReadImage("movingImage.nii") elastixImageFilter.SetMovingImage(sitk.ReadImage("BrainProtonDensityTranslatedR1013x17yS12.png",sitk.sitkFloat32))
elastixImageFilter.SetParameterMap(sitk.GetDefaultParameterMap("affine"))
elastixImageFilter.Execute()
#sitk.WriteImage(elastixImageFilter.GetResultImage())
sitk.WriteImage(sitk.Cast(elastixImageFilter.GetResultImage(),sitk.sitkUInt8),"affine_result.png")

Dear Dr. Marstal,
Thanks for your reply. The above is the script. The first image is the fixed image, and the second is the moving image.
The fixed image and moving image were download from this page https://github.com/SuperElastix/SimpleElastix/blob/develop/Documentation/Sphinx/AffineRegistration.rst
Can you post the elastix log? Use elastixImageFilter.LogToConsole() to generate the log.
The salt noise is indeed an artifact of casting the float image to an unsigned int image. You can use sitk.RescaleIntensity() to remove this artifact.
It is difficult to grasp the quality of the registration from these. You can use sitk.CheckerBoard(fixedImage, resultImage) to get a better idea. Post the output checkerboard image here and we can look at the results together.
Installing all components. InstallingComponents was successful.
ELASTIX version: 4.900 Command line options from ElastixBase: -fMask unspecified, so no fixed mask used -mMask unspecified, so no moving mask used -out ./ -threads unspecified, so all available threads are used WARNING: The parameter "UseDirectionCosines", requested at entry number 0, does not exist at all. The default value "true" is used instead.
WARNING: The option "UseDirectionCosines" was not found in your parameter file. From elastix 4.8 it defaults to true! This may change the behavior of your registrations considerably.
Command line options from TransformBase: -t0 unspecified, so no initial transform used
Reading images... Reading images took 0 ms.
WARNING: the fixed pyramid schedule is not fully specified! A default pyramid schedule is used. WARNING: the moving pyramid schedule is not fully specified! A default pyramid schedule is used. WARNING: The parameter "AutomaticTransformInitialization", requested at entry number 0, does not exist at all. The default value "false" is used instead. WARNING: The parameter "AutomaticTransformInitializationMethod", requested at entry number 0, does not exist at all. The default value "GeometricalCenter" is used instead. Transform parameters are initialized as: [1, 0, 0, 1, 0, 0] InitializeTransform took 0.00s WARNING: The parameter "AutomaticScalesEstimation", requested at entry number 0, does not exist at all. The default value "false" is used instead. Scales for transform parameters are: [100000, 100000, 100000, 100000, 1, 1] Initialization of all components (before registration) took: 0 ms. Preparation of the image pyramids took: 8 ms.
Resolution: 0 WARNING: The parameter "ShowExactMetricValue", requested at entry number 0, does not exist at all. The default value "false" is used instead. WARNING: The parameter "UseMultiThreadingForMetrics", requested at entry number 0, does not exist at all. The default value "true" is used instead. Setting the fixed masks took: 0 ms. Setting the moving masks took: 0 ms. WARNING: The parameter "FixedImageBSplineInterpolationOrder", requested at entry number 0, does not exist at all. The default value "1" is used instead. WARNING: The parameter "UseRandomSampleRegion", requested at entry number 0, does not exist at all. The default value "false" is used instead. WARNING: The parameter "NumberOfHistogramBins", requested at entry number 0, does not exist at all. The default value "32" is used instead. WARNING: The parameter "NumberOfFixedHistogramBins", requested at entry number 0, does not exist at all. The default value "32" is used instead. WARNING: The parameter "NumberOfMovingHistogramBins", requested at entry number 0, does not exist at all. The default value "32" is used instead. WARNING: The parameter "FixedLimitRangeRatio", requested at entry number 0, does not exist at all. The default value "0.01" is used instead. WARNING: The parameter "MovingLimitRangeRatio", requested at entry number 0, does not exist at all. The default value "0.01" is used instead. WARNING: The parameter "FixedKernelBSplineOrder", requested at entry number 0, does not exist at all. The default value "0" is used instead. WARNING: The parameter "MovingKernelBSplineOrder", requested at entry number 0, does not exist at all. The default value "3" is used instead. WARNING: The parameter "UseFastAndLowMemoryVersion", requested at entry number 0, does not exist at all. The default value "true" is used instead. WARNING: The parameter "UseJacobianPreconditioning", requested at entry number 0, does not exist at all. The default value "false" is used instead. WARNING: The parameter "FiniteDifferenceDerivative", requested at entry number 0, does not exist at all. The default value "false" is used instead. WARNING: The parameter "SP_A", requested at entry number 0, does not exist at all. The default value "20" is used instead.
WARNING: You have set MaximumNumberOfSamplingAttempts to 8. This functionality is known to cause problems (stack overflow) for large values. If elastix stops or segfaults for no obvious reason, reduce this value. You may select the RandomSparseMask image sampler to fix mask-related problems.
WARNING: The parameter "SigmoidInitialTime", requested at entry number 0, does not exist at all. The default value "0" is used instead. WARNING: The parameter "MaxBandCovSize", requested at entry number 0, does not exist at all. The default value "192" is used instead. WARNING: The parameter "NumberOfBandStructureSamples", requested at entry number 0, does not exist at all. The default value "10" is used instead. WARNING: The parameter "UseAdaptiveStepSizes", requested at entry number 0, does not exist at all. The default value "true" is used instead. WARNING: The parameter "UseConstantStep", requested at entry number 0, does not exist at all. The default value "false" is used instead. WARNING: The parameter "MaximumStepLengthRatio", requested at entry number 0, does not exist at all. The default value "1" is used instead. WARNING: The parameter "MaximumStepLength", requested at entry number 0, does not exist at all. The default value "1" is used instead. WARNING: The parameter "NumberOfGradientMeasurements", requested at entry number 0, does not exist at all. The default value "0" is used instead. WARNING: The parameter "NumberOfJacobianMeasurements", requested at entry number 0, does not exist at all. The default value "1000" is used instead. WARNING: The parameter "SigmoidScaleFactor", requested at entry number 0, does not exist at all. The default value "0.1" is used instead. Elastix initialization of all components (for this resolution) took: 0 ms. Computing the fixed image extrema took 0 ms. Computing the moving image extrema took 0 ms. Initialization of AdvancedMattesMutualInformation metric took: 1 ms. Starting automatic parameter estimation for AdaptiveStochasticGradientDescent ... WARNING: The parameter "ASGDParameterEstimationMethod", requested at entry number 0, does not exist at all. The default value "Original" is used instead. Computing JacobianTerms ... Computing the Jacobian terms took 0.000390s NumberOfGradientMeasurements to estimate sigma_i: 14 Sampling gradients ... Sampling the gradients took 0.020340s Automatic parameter estimation took 0.02s 1:ItNr 2:Metric 3a:Time 3b:StepSize 4:||Gradient|| Time[ms] 0 -0.639454 0.000000 31.951420 0.013933 24.4 1 -0.651969 0.000000 31.951420 0.017662 0.7 2 -0.631433 0.000000 31.951420 0.015800 0.7 3 -0.657524 0.000000 31.951420 0.014590 0.7 4 -0.654685 0.000000 31.951420 0.018795 0.7 5 -0.686410 0.000000 31.951420 0.015127 1.2 6 -0.698718 0.000000 31.951420 0.011617 0.7 7 -0.705055 0.000000 31.951420 0.012113 0.7 8 -0.673141 0.000000 31.951420 0.010708 0.6 9 -0.695742 0.000000 31.951420 0.015336 0.6 10 -0.709628 0.000000 31.951420 0.012861 0.6 11 -0.707183 0.000000 31.951420 0.017763 0.6 12 -0.716696 0.000000 31.951420 0.016861 0.6 13 -0.723036 0.000000 31.951420 0.013970 0.7 14 -0.746290 0.000000 31.951420 0.012183 0.6 15 -0.746819 0.000000 31.951420 0.014739 0.6 16 -0.739148 0.000000 31.951420 0.005823 0.7 17 -0.750360 0.000000 31.951420 0.012778 0.6 18 -0.739861 0.000000 31.951420 0.010592 0.7 19 -0.760805 0.000000 31.951420 0.013326 0.7 20 -0.756818 0.000000 31.951420 0.010642 0.7 21 -0.764268 0.000000 31.951420 0.010596 0.7 22 -0.766362 0.000000 31.951420 0.010680 0.7 23 -0.770453 0.000000 31.951420 0.011042 0.7 24 -0.746055 0.000000 31.951420 0.018126 0.7 25 -0.766867 0.000000 31.951420 0.016178 0.7 26 -0.774622 0.000000 31.951420 0.012889 0.7 27 -0.783148 0.000000 31.951420 0.011442 0.6 28 -0.783301 0.000000 31.951420 0.013884 0.6 29 -0.799590 0.000000 31.951420 0.013046 0.7 30 -0.815871 0.000000 31.951420 0.006140 0.6 31 -0.790402 0.000000 31.951420 0.010633 0.6 32 -0.822045 0.000000 31.951420 0.008055 0.6 33 -0.820792 0.000000 31.951420 0.011306 0.6 34 -0.809173 0.000000 31.951420 0.013242 0.6 35 -0.822252 0.000000 31.951420 0.015951 0.6 36 -0.807534 0.000000 31.951420 0.013318 0.6 37 -0.840403 0.000000 31.951420 0.012949 0.6 38 -0.853134 0.000000 31.951420 0.007327 0.6 39 -0.838552 0.000000 31.951420 0.011278 0.6 40 -0.827125 0.000000 31.951420 0.013489 0.6 41 -0.842088 0.000000 31.951420 0.006964 0.6 42 -0.851290 0.999726 30.499462 0.009919 0.7 43 -0.840863 0.921932 30.607696 0.012964 0.7 44 -0.868452 0.844137 30.716700 0.011669 0.6 45 -0.832068 0.766343 30.826484 0.012931 0.6 46 -0.867904 0.688548 30.937055 0.006104 0.6 47 -0.858309 0.610754 31.048423 0.009242 0.7 48 -0.838592 0.532959 31.160595 0.009856 0.7 49 -0.832524 0.455165 31.273580 0.007902 0.7 50 -0.860180 0.377370 31.387388 0.012286 0.6 51 -0.861170 0.299576 31.502027 0.009818 0.6 52 -0.878354 0.221781 31.617507 0.007748 0.6 53 -0.876881 0.143987 31.733836 0.007431 0.6 54 -0.869882 0.066192 31.851025 0.007276 0.7 55 -0.876559 0.000000 31.951420 0.007527 0.6 56 -0.901252 0.000000 31.951420 0.005261 0.6 57 -0.878024 0.000000 31.951420 0.013840 0.6 58 -0.878238 0.000000 31.951420 0.004987 0.6 59 -0.888340 0.999812 30.499342 0.007879 0.6 60 -0.893846 0.925293 30.603003 0.006675 0.6 61 -0.868113 0.848898 30.710007 0.012916 0.6 62 -0.882447 0.771105 30.819741 0.009323 0.6 63 -0.882414 0.693311 30.930264 0.005431 0.6 64 -0.889447 0.615522 31.041574 0.006313 0.6 65 -0.878434 0.537727 31.153696 0.007372 0.6 66 -0.876540 0.459933 31.266632 0.011340 0.6 67 -0.886374 0.382138 31.380389 0.007415 0.7 68 -0.897600 0.304344 31.494977 0.009452 0.6 69 -0.900310 0.226549 31.610405 0.011654 0.6 70 -0.896645 0.148755 31.726682 0.013439 1.1 71 -0.902787 1.148755 30.294245 0.009322 0.7 72 -0.915919 2.148755 28.985568 0.005444 1.1 73 -0.893821 2.070960 29.083307 0.015043 0.6 74 -0.916504 3.070908 27.875135 0.006728 0.6 75 -0.912776 4.070908 26.763283 0.010071 0.6 76 -0.884390 5.070908 25.736726 0.012721 0.6 77 -0.899485 4.993113 25.813753 0.006146 0.7 78 -0.926611 4.915319 25.891243 0.007685 0.7 79 -0.920429 4.963202 25.843492 0.006014 0.7 80 -0.890745 5.047476 25.759878 0.006914 0.6 81 -0.890772 4.969682 25.837044 0.011611 0.6 82 -0.907615 4.891888 25.914673 0.012328 0.7 83 -0.907676 4.814093 25.992771 0.008096 0.6 84 -0.904998 4.736299 26.071341 0.006161 0.7 85 -0.926890 4.658521 26.150370 0.006254 0.7 86 -0.904871 4.580727 26.229896 0.005111 0.6 87 -0.903769 4.502937 26.309903 0.008536 0.6 88 -0.895851 4.425143 26.390405 0.012649 0.6 89 -0.919469 5.425143 25.391719 0.008315 0.7 90 -0.889775 5.783300 25.052171 0.010859 0.7 91 -0.913373 5.710924 25.120053 0.005583 0.6 92 -0.914364 5.634372 25.192252 0.007461 0.6 93 -0.916092 5.556577 25.266050 0.010997 0.6 94 -0.908272 5.478784 25.340280 0.006227 0.6 95 -0.921935 5.400990 25.414949 0.005108 0.6 96 -0.902105 5.323196 25.490059 0.005981 0.6 97 -0.883266 5.245438 25.565579 0.003605 0.6 98 -0.927196 5.167644 25.641583 0.008097 0.6 99 -0.920833 5.089852 25.718038 0.005383 0.6 100 -0.924502 5.012068 25.794943 0.007419 0.6 101 -0.888799 4.934274 25.872319 0.005251 0.6 102 -0.927914 4.856641 25.949999 0.010402 0.7 103 -0.906895 4.778846 26.028310 0.005469 0.7 104 -0.948304 4.701052 26.107095 0.006255 0.6 105 -0.942405 4.623257 26.186359 0.008777 0.6 106 -0.909947 4.545463 26.266105 0.004626 0.6 107 -0.920238 4.514955 26.297511 0.005300 0.6 108 -0.916696 4.437160 26.377937 0.005053 0.7 109 -0.967585 4.359366 26.458856 0.006857 0.7 110 -0.971284 4.281571 26.540273 0.004291 0.7 111 -0.954262 4.203784 26.622185 0.007186 0.7 112 -0.949645 4.125990 26.704612 0.008984 0.6 113 -0.936476 4.900176 25.906380 0.008612 0.6 114 -0.938917 4.822390 25.984419 0.006079 0.7 115 -0.942231 5.822341 25.015707 0.004869 0.7 116 -0.919392 5.744546 25.088472 0.006268 0.6 117 -0.959084 5.666753 25.161662 0.005225 0.6 118 -0.911505 5.588958 25.235280 0.009129 0.6 119 -0.935746 5.511164 25.309331 0.004374 0.6 120 -0.935474 5.433371 25.383816 0.005552 0.7 121 -0.942022 5.355576 25.458742 0.009297 0.6 122 -0.918793 5.277782 25.534111 0.004970 0.6 123 -0.940281 5.200479 25.609448 0.005691 0.6 124 -0.913240 5.122685 25.685714 0.006020 0.7 125 -0.952510 5.044890 25.762436 0.005550 0.6 126 -0.936915 4.967096 25.839617 0.004984 0.7 127 -0.923980 4.889302 25.917262 0.009057 0.7 128 -0.933441 4.811507 25.995375 0.009890 0.6 129 -0.954613 4.733713 26.073961 0.005924 0.6 130 -0.931634 5.732759 25.099534 0.006927 0.7 131 -0.938391 5.654965 25.172789 0.007345 0.7 132 -0.889507 5.577171 25.246472 0.005282 0.7 133 -0.933403 5.499381 25.320584 0.009322 0.7 134 -0.935609 6.499335 24.399855 0.009753 0.6 135 -0.948287 7.499335 23.543700 0.007472 0.6 136 -0.957821 7.421541 23.608143 0.005706 0.6 137 -0.940787 7.343746 23.672940 0.008671 0.7 138 -0.913313 7.265952 23.738093 0.005144 0.8 139 -0.929042 7.188158 23.803607 0.006293 0.7 140 -0.910789 7.110363 23.869482 0.011989 0.6 141 -0.937187 7.032569 23.935723 0.004881 0.6 142 -0.942150 6.954774 24.002333 0.005598 0.6 143 -0.934761 6.876980 24.069315 0.003897 0.6 144 -0.940864 6.799191 24.136666 0.006644 0.6 145 -0.950546 6.721397 24.204401 0.006788 0.6 146 -0.941433 6.643603 24.272517 0.005395 0.6 147 -0.916121 6.635519 24.279616 0.013500 0.6 148 -0.932067 7.635437 23.431799 0.015452 0.6 149 -0.926396 8.635437 22.641131 0.005949 0.6 150 -0.948070 9.635437 21.902081 0.008583 0.8 151 -0.926086 10.635160 21.209939 0.006498 0.7 152 -0.919507 10.557366 21.262225 0.010595 0.6 153 -0.929955 10.479572 21.314769 0.005660 0.6 154 -0.947741 10.401777 21.367574 0.008765 0.6 155 -0.951356 10.693968 21.170584 0.009221 1.1 156 -0.954560 10.616174 21.222676 0.012994 0.7 157 -0.936016 10.538379 21.275025 0.008787 0.6 158 -0.916966 11.538379 20.621181 0.005312 0.6 159 -0.919336 11.463681 20.668630 0.007215 0.6 160 -0.947808 11.397633 20.710767 0.008915 0.6 161 -0.946893 11.319838 20.760618 0.006089 0.6 162 -0.937601 11.242044 20.810709 0.005236 0.7 163 -0.922591 11.164277 20.861025 0.009922 0.7 164 -0.943974 11.086483 20.911604 0.007207 0.7 165 -0.947581 11.008690 20.962427 0.006607 0.6 166 -0.958082 10.930895 21.013498 0.005566 0.6 167 -0.941440 10.853314 21.064678 0.008605 0.6 168 -0.938343 10.775519 21.116250 0.008070 0.7 169 -0.943056 10.697725 21.168075 0.010804 0.7 170 -0.943115 11.697725 20.520688 0.006735 0.6 171 -0.954491 12.697725 19.911724 0.006698 0.6 172 -0.969206 13.693187 19.340391 0.005215 0.6 173 -0.953584 13.841076 19.258298 0.005786 0.7 174 -0.942845 13.763288 19.301391 0.008271 0.6 175 -0.942192 13.685494 19.344681 0.004725 0.7 176 -0.950383 13.607700 19.388165 0.005434 0.6 177 -0.928059 13.529906 19.431846 0.008381 0.6 178 -0.947941 13.614681 19.384255 0.005059 0.6 179 -0.948711 13.537111 19.427792 0.008783 0.6 180 -0.951634 13.459316 19.471652 0.008360 0.7 181 -0.937470 13.381522 19.515710 0.016879 0.7 182 -0.948371 14.381522 18.964131 0.007762 0.6 183 -0.974769 15.381522 18.442874 0.003740 0.6 184 -0.930209 15.303929 18.482292 0.008785 0.6 185 -0.951529 15.235328 18.517283 0.003880 0.6 186 -0.949708 15.157641 18.557068 0.005571 0.7 187 -0.953610 15.079848 18.597080 0.008295 0.6 188 -0.960419 15.002054 18.637265 0.009544 0.6 189 -0.951604 14.924259 18.677624 0.005036 0.6 190 -0.955585 14.846465 18.718158 0.007354 0.6 191 -0.961188 14.768670 18.758869 0.007996 0.7 192 -0.946323 14.690876 18.799757 0.010612 2.6 193 -0.947548 15.690876 18.287375 0.007857 0.7 194 -0.934085 15.613082 18.326231 0.006716 0.6 195 -0.954672 15.923614 18.172106 0.004889 0.6 196 -0.984558 15.845820 18.210473 0.007918 0.7 197 -0.938346 15.768025 18.249003 0.007278 0.7 198 -0.952500 15.690435 18.287595 0.006882 0.6 199 -0.950581 15.612641 18.326452 0.007217 0.6 200 -0.947129 15.534871 18.365463 0.008875 0.6 201 -0.947163 15.457076 18.404652 0.006987 0.6 202 -0.969805 15.379282 18.444009 0.006411 0.7 203 -0.973896 15.301487 18.483535 0.005480 0.6 204 -0.957059 15.223712 18.523221 0.004948 0.6 205 -0.947219 15.145918 18.563087 0.007335 0.6 206 -0.963152 15.068123 18.603125 0.008590 0.6 207 -0.960388 14.990329 18.643337 0.008566 0.7 208 -0.913169 14.912534 18.683722 0.005767 0.7 209 -0.945386 14.834740 18.724283 0.006591 0.7 210 -0.943708 14.756946 18.765020 0.005305 0.6 211 -0.961063 14.679152 18.805935 0.008586 0.6 212 -0.952986 14.601358 18.847029 0.006393 0.7 213 -0.957307 14.523563 18.888303 0.010261 0.7 214 -0.966843 14.447350 18.928913 0.008070 0.7 215 -0.981560 14.369555 18.970547 0.009819 0.7 216 -0.958630 14.291761 19.012364 0.007262 0.7 217 -0.985221 14.213966 19.054366 0.008982 0.7 218 -0.944394 14.136172 19.096554 0.005678 0.7 219 -0.977326 14.058391 19.138922 0.009686 0.8 220 -0.969915 13.980832 19.181357 0.008307 0.6 221 -0.969971 14.447470 18.928849 0.005947 0.7 222 -0.966688 14.369676 18.970482 0.005464 0.6 223 -0.969480 14.291881 19.012299 0.006816 0.7 224 -0.949740 14.214108 19.054290 0.011043 0.7 225 -0.971252 14.136314 19.096477 0.007329 0.7 226 -0.979408 14.058519 19.138852 0.005700 0.6 227 -0.978380 13.980725 19.181415 0.010507 0.6 228 -0.973744 13.902930 19.224168 0.006837 0.6 229 -0.969664 13.825136 19.267113 0.008020 0.6 230 -0.980570 13.747341 19.310249 0.009227 0.6 231 -0.966694 13.669547 19.353579 0.008931 0.6 232 -0.969677 13.591752 19.397104 0.006104 0.7 233 -0.978499 13.513958 19.440825 0.010469 0.6 234 -0.973684 13.436163 19.484744 0.006036 0.7 235 -1.007594 13.358369 19.528861 0.009434 0.6 236 -0.978666 13.280575 19.573179 0.005983 0.6 237 -0.966897 13.206665 19.615470 0.009750 0.7 238 -0.993065 13.129108 19.660045 0.008343 0.7 239 -0.985383 13.051313 19.704961 0.007734 0.7 240 -0.991975 12.973519 19.750083 0.006830 0.6 241 -1.004540 12.895725 19.795411 0.008764 0.6 242 -0.961328 12.817930 19.840948 0.008913 0.6 243 -0.980188 12.740136 19.886696 0.006392 0.7 244 -0.986849 12.662341 19.932654 0.005628 0.7 245 -1.012788 12.584547 19.978826 0.008304 0.6 246 -0.978301 12.506753 20.025212 0.009562 0.6 247 -0.987005 12.428958 20.071813 0.008076 0.6 248 -0.979053 12.351164 20.118633 0.010384 0.6 249 -0.976526 12.273370 20.165670 0.013532 0.6 250 -0.990312 13.273370 19.577293 0.006905 0.7 251 -0.973792 13.195575 19.621831 0.006265 0.6 252 -0.945056 13.117781 19.666572 0.007126 0.7 253 -0.988581 13.039986 19.711518 0.013689 0.6 254 -1.001853 14.039986 19.148975 0.012452 0.6 255 -1.012358 14.119549 19.105593 0.006727 0.7 Time spent in resolution 0 (ITK initialization and iterating): 0.197 s. Stopping condition: Maximum number of iterations has been reached. Settings of AdaptiveStochasticGradientDescent in resolution 0: ( SP_a 670.979810 ) ( SP_A 20.000000 ) ( SP_alpha 1.000000 ) ( SigmoidMax 1.000000 ) ( SigmoidMin -0.077794 ) ( SigmoidScale 0.000001 )
Resolution: 1 WARNING: The parameter "ShowExactMetricValue", requested at entry number 1, does not exist at all. The default value "false" is used instead. WARNING: The parameter "UseMultiThreadingForMetrics", requested at entry number 1, does not exist at all. The default value "true" is used instead. Setting the fixed masks took: 0 ms. Setting the moving masks took: 0 ms. WARNING: The parameter "FixedImageBSplineInterpolationOrder", requested at entry number 1, does not exist at all. The default value "1" is used instead. WARNING: The parameter "UseRandomSampleRegion", requested at entry number 1, does not exist at all. The default value "false" is used instead. WARNING: The parameter "NumberOfHistogramBins", requested at entry number 1, does not exist at all. The default value "32" is used instead. WARNING: The parameter "NumberOfFixedHistogramBins", requested at entry number 1, does not exist at all. The default value "32" is used instead. WARNING: The parameter "NumberOfMovingHistogramBins", requested at entry number 1, does not exist at all. The default value "32" is used instead. WARNING: The parameter "FixedLimitRangeRatio", requested at entry number 1, does not exist at all. The default value "0.01" is used instead. WARNING: The parameter "MovingLimitRangeRatio", requested at entry number 1, does not exist at all. The default value "0.01" is used instead. WARNING: The parameter "FixedKernelBSplineOrder", requested at entry number 1, does not exist at all. The default value "0" is used instead. WARNING: The parameter "MovingKernelBSplineOrder", requested at entry number 1, does not exist at all. The default value "3" is used instead. WARNING: The parameter "UseFastAndLowMemoryVersion", requested at entry number 1, does not exist at all. The default value "true" is used instead. WARNING: The parameter "UseJacobianPreconditioning", requested at entry number 1, does not exist at all. The default value "false" is used instead. WARNING: The parameter "FiniteDifferenceDerivative", requested at entry number 1, does not exist at all. The default value "false" is used instead. WARNING: The parameter "SP_A", requested at entry number 1, does not exist at all. The default value "20" is used instead.
WARNING: You have set MaximumNumberOfSamplingAttempts to 8. This functionality is known to cause problems (stack overflow) for large values. If elastix stops or segfaults for no obvious reason, reduce this value. You may select the RandomSparseMask image sampler to fix mask-related problems.
WARNING: The parameter "SigmoidInitialTime", requested at entry number 1, does not exist at all. The default value "0" is used instead. WARNING: The parameter "MaxBandCovSize", requested at entry number 1, does not exist at all. The default value "192" is used instead. WARNING: The parameter "NumberOfBandStructureSamples", requested at entry number 1, does not exist at all. The default value "10" is used instead. WARNING: The parameter "UseAdaptiveStepSizes", requested at entry number 1, does not exist at all. The default value "true" is used instead. WARNING: The parameter "UseConstantStep", requested at entry number 1, does not exist at all. The default value "false" is used instead. WARNING: The parameter "MaximumStepLengthRatio", requested at entry number 1, does not exist at all. The default value "1" is used instead. WARNING: The parameter "MaximumStepLength", requested at entry number 1, does not exist at all. The default value "1" is used instead. WARNING: The parameter "NumberOfGradientMeasurements", requested at entry number 1, does not exist at all. The default value "0" is used instead. WARNING: The parameter "NumberOfJacobianMeasurements", requested at entry number 1, does not exist at all. The default value "1000" is used instead. WARNING: The parameter "SigmoidScaleFactor", requested at entry number 1, does not exist at all. The default value "0.1" is used instead. Elastix initialization of all components (for this resolution) took: 0 ms. Computing the fixed image extrema took 0 ms. Computing the moving image extrema took 0 ms. Initialization of AdvancedMattesMutualInformation metric took: 1 ms. Starting automatic parameter estimation for AdaptiveStochasticGradientDescent ... WARNING: The parameter "ASGDParameterEstimationMethod", requested at entry number 0, does not exist at all. The default value "Original" is used instead. Computing JacobianTerms ... Computing the Jacobian terms took 0.000404s NumberOfGradientMeasurements to estimate sigma_i: 14 Sampling gradients ... Sampling the gradients took 0.020032s Automatic parameter estimation took 0.02s 1:ItNr 2:Metric 3a:Time 3b:StepSize 4:||Gradient|| Time[ms] 0 -0.718791 0.000000 20.937881 0.013680 24.1 1 -0.706256 0.000000 20.937881 0.003901 0.6 2 -0.741224 0.787899 20.180720 0.011782 0.6 3 -0.728054 0.167681 20.772020 0.009043 0.6 4 -0.734098 1.155130 19.846216 0.008607 0.6 5 -0.745146 2.118583 19.019137 0.011831 0.8 6 -0.735440 3.117064 18.231718 0.008557 0.6 7 -0.730780 4.109736 17.510957 0.004178 0.6 8 -0.767526 3.496943 17.948995 0.009504 0.6 9 -0.753028 2.923513 18.379220 0.003123 0.6 10 -0.734518 3.620362 17.859018 0.007622 0.6 11 -0.748091 3.907656 17.653026 0.009561 1.3 12 -0.779876 3.551602 17.909035 0.016658 0.7 13 -0.733801 4.550657 17.208774 0.016151 0.7 14 -0.718172 5.550657 16.560626 0.004574 0.6 15 -0.718482 6.502342 15.987566 0.018041 0.7 16 -0.750260 7.472974 15.442556 0.002816 0.6 17 -0.758340 7.034822 15.683905 0.009294 0.6 18 -0.735722 6.582526 15.941089 0.009489 0.6 19 -0.769321 6.612628 15.923711 0.008232 0.6 20 -0.735856 7.574100 15.387904 0.006966 0.6 21 -0.720426 7.780268 15.277672 0.008359 0.7 22 -0.743659 7.120290 15.636236 0.006558 0.6 23 -0.743385 6.448996 16.018637 0.007432 0.7 24 -0.729937 5.889270 16.352080 0.007329 0.7 25 -0.727724 6.571725 15.947334 0.006695 0.6 26 -0.745406 6.677840 15.886193 0.009828 0.6 27 -0.727877 6.002564 16.283472 0.012342 0.6 28 -0.738222 5.334200 16.696748 0.012825 0.7 29 -0.747804 4.650592 17.141729 0.008044 0.7 30 -0.754642 3.967837 17.610476 0.009795 0.7 31 -0.756854 3.286661 18.104403 0.007748 0.6 32 -0.761071 2.725492 18.532618 0.007635 0.6 33 -0.747387 2.363522 18.819744 0.013377 0.6 34 -0.724626 3.360022 18.049881 0.013309 0.9 35 -0.745395 4.359162 17.338723 0.009803 0.6 36 -0.726653 5.357723 16.681847 0.009797 0.6 37 -0.741693 5.161289 16.807104 0.007864 0.6 38 -0.739522 4.488690 17.250612 0.013118 0.6 39 -0.720702 3.917931 17.645746 0.004659 0.6 40 -0.757845 3.261959 18.122836 0.017952 0.7 41 -0.728744 3.896340 17.661049 0.005432 0.7 42 -0.750150 3.216378 18.156947 0.011573 0.7 43 -0.743834 3.339008 18.065465 0.010723 0.6 44 -0.730722 3.466118 17.971608 0.006691 0.6 45 -0.740723 2.923490 18.379237 0.006988 0.6 46 -0.724208 3.106289 18.239866 0.005106 0.7 47 -0.750641 3.510674 17.938939 0.005547 0.7 48 -0.735919 2.990093 18.328211 0.007013 0.6 49 -0.747207 2.481668 18.725054 0.012569 0.7 50 -0.754982 1.806981 19.278988 0.007150 0.6 51 -0.735649 2.670632 18.575571 0.009640 0.6 52 -0.753416 2.909202 18.390220 0.008837 0.7 53 -0.743692 3.775778 17.746991 0.013053 0.7 54 -0.762766 3.100132 18.244526 0.011395 0.6 55 -0.743790 2.418062 18.775913 0.017432 0.6 56 -0.728275 3.418045 18.006991 0.009212 0.6 57 -0.747218 2.734432 18.525638 0.021856 0.7 58 -0.756831 2.051657 19.074356 0.023540 0.7 59 -0.737993 3.051656 18.281298 0.009617 0.7 60 -0.747938 4.051646 17.551561 0.006252 0.6 61 -0.750217 4.750808 17.075017 0.006754 0.6 62 -0.730498 4.431588 17.289345 0.014718 0.6 63 -0.754390 5.381266 16.666959 0.008635 0.7 64 -0.761039 4.699139 17.109348 0.013549 0.7 65 -0.748404 4.017108 17.575793 0.008874 0.7 66 -0.749101 3.335006 18.068436 0.009881 0.6 67 -0.773184 2.672186 18.574352 0.008538 0.6 68 -0.749744 2.120762 19.017345 0.017048 0.6 69 -0.760823 1.437144 19.596768 0.006023 0.7 70 -0.763476 0.756988 20.209392 0.007023 0.7 71 -0.764802 0.217477 20.723270 0.014526 0.7 72 -0.732391 0.639676 20.318950 0.007326 0.6 73 -0.756773 0.000000 20.937881 0.006330 0.7 74 -0.749413 0.000000 20.937881 0.022506 0.6 75 -0.763140 0.961488 20.021207 0.009467 0.6 76 -0.739015 1.961485 19.149262 0.010110 0.7 77 -0.761118 1.279146 19.735743 0.021794 0.6 78 -0.767698 0.595523 20.360493 0.005787 0.6 79 -0.748844 0.000000 20.937881 0.013006 0.6 80 -0.778762 0.764621 20.202304 0.012917 0.6 81 -0.755661 0.080998 20.857432 0.015036 0.6 82 -0.765260 1.078935 19.914706 0.007970 0.9 83 -0.770203 0.395352 20.550982 0.013792 0.7 84 -0.778819 0.274145 20.668069 0.011540 0.7 85 -0.802980 0.000000 20.937881 0.012465 0.6 86 -0.767615 0.000000 20.937881 0.007383 0.6 87 -0.787714 0.000000 20.937881 0.009788 0.6 88 -0.773251 0.000000 20.937881 0.013832 0.6 89 -0.763124 0.994536 19.991124 0.009816 0.7 90 -0.772898 0.313378 20.630024 0.012903 0.6 91 -0.793237 0.000000 20.937881 0.012298 0.6 92 -0.810883 0.000000 20.937881 0.005732 0.6 93 -0.777666 0.000000 20.937881 0.018812 0.6 94 -0.767596 0.000000 20.937881 0.012339 0.7 95 -0.781413 0.000000 20.937881 0.009657 0.7 96 -0.796162 0.000000 20.937881 0.010308 0.6 97 -0.781936 0.000000 20.937881 0.011773 0.6 98 -0.806199 0.000000 20.937881 0.016184 0.6 99 -0.783051 0.999958 19.986197 0.006776 0.6 100 -0.781697 0.960291 20.022298 0.008435 0.6 101 -0.770512 0.294710 20.648109 0.007073 0.7 102 -0.775206 0.000000 20.937881 0.007389 0.7 103 -0.790528 0.197728 20.742577 0.019212 0.6 104 -0.777387 0.000000 20.937881 0.011719 0.6 105 -0.749493 0.000000 20.937881 0.005266 0.6 106 -0.788798 0.000000 20.937881 0.009431 0.6 107 -0.797633 0.000000 20.937881 0.006361 0.7 108 -0.779208 0.000000 20.937881 0.020305 0.7 109 -0.764708 0.673923 20.286844 0.015377 0.7 110 -0.791729 0.000000 20.937881 0.013024 0.6 111 -0.779074 0.999990 19.986168 0.015434 0.7 112 -0.789853 0.316367 20.627131 0.006306 0.6 113 -0.769194 0.000000 20.937881 0.011788 0.7 114 -0.775181 0.000000 20.937881 0.006516 0.8 115 -0.803651 0.000000 20.937881 0.015875 0.6 116 -0.745316 0.000000 20.937881 0.012351 0.7 117 -0.806246 0.000000 20.937881 0.003970 0.6 118 -0.772732 0.000000 20.937881 0.012424 0.6 119 -0.773506 0.103480 20.835213 0.007298 0.7 120 -0.788032 0.818798 20.152141 0.009580 0.6 121 -0.770489 0.137198 20.801976 0.006797 0.7 122 -0.800511 0.000000 20.937881 0.014717 0.7 123 -0.788913 0.955842 20.026355 0.005557 0.6 124 -0.788089 1.864327 19.230634 0.012723 0.6 125 -0.772780 1.191139 19.814012 0.011250 0.7 126 -0.806757 0.507552 20.443772 0.006428 0.7 127 -0.801235 0.000000 20.937881 0.008624 0.6 128 -0.786147 0.000000 20.937881 0.013616 0.6 129 -0.791934 0.000000 20.937881 0.010281 0.6 130 -0.771573 0.985506 19.999335 0.013505 0.7 131 -0.791225 1.636590 19.424105 0.008562 0.8 132 -0.817757 0.971027 20.012515 0.014801 0.7 133 -0.761129 0.289019 20.653629 0.005953 0.7 134 -0.810172 0.000000 20.937881 0.015007 0.6 135 -0.796607 0.000000 20.937881 0.006760 0.6 136 -0.801459 0.000000 20.937881 0.013436 0.9 137 -0.803916 0.952914 20.029027 0.014954 0.7 138 -0.823356 1.952914 19.156413 0.009106 0.6 139 -0.784851 1.540995 19.506481 0.008638 0.6 140 -0.810479 1.671750 19.393981 0.008809 0.6 141 -0.809545 2.477089 18.728706 0.010562 0.7 142 -0.779787 3.406871 18.015235 0.010045 0.8 143 -0.787832 3.547321 17.912158 0.009680 0.7 144 -0.778771 4.131580 17.495736 0.011110 0.6 145 -0.802307 5.118898 16.834381 0.006959 0.6 146 -0.791757 4.649786 17.142268 0.007551 0.6 147 -0.788931 3.988360 17.596013 0.017946 0.7 148 -0.814549 3.304975 18.090761 0.008299 0.8 149 -0.813790 2.877085 18.414957 0.018644 0.7 150 -0.828302 2.193538 18.957673 0.010314 0.6 151 -0.798918 1.509915 19.533414 0.008804 0.6 152 -0.792262 0.883539 20.092522 0.009503 0.6 153 -0.785186 0.208336 20.732201 0.004795 0.6 154 -0.792473 0.000000 20.937881 0.009151 0.7 155 -0.821519 0.000000 20.937881 0.008896 0.7 156 -0.776809 0.793719 20.175331 0.013159 0.7 157 -0.796753 0.584070 20.371297 0.011673 0.6 158 -0.790694 1.582367 19.470744 0.013095 0.7 159 -0.800766 0.898747 20.078569 0.007235 0.7 160 -0.800034 1.439668 19.594564 0.009126 1.2 161 -0.801323 1.713662 19.358195 0.010661 0.7 162 -0.803843 2.332134 18.845061 0.016647 0.6 163 -0.801600 1.648512 19.413880 0.007853 0.7 164 -0.794932 0.966276 20.016843 0.018836 0.7 165 -0.808470 0.286217 20.656347 0.010721 0.7 166 -0.800637 1.286193 19.729502 0.005961 0.6 167 -0.824949 0.638820 20.319754 0.012559 0.6 168 -0.816450 0.016028 20.921912 0.009816 0.6 169 -0.799715 0.975727 20.008235 0.009378 0.6 170 -0.821259 0.313014 20.630376 0.009811 0.6 171 -0.810135 0.000000 20.937881 0.015109 0.7 172 -0.823488 0.000000 20.937881 0.007443 0.7 173 -0.802093 0.000000 20.937881 0.014754 0.6 174 -0.801047 0.000000 20.937881 0.012448 0.6 175 -0.791962 0.999851 19.986294 0.012425 0.7 176 -0.802440 1.999831 19.117336 0.008635 0.7 177 -0.803491 1.318947 19.700548 0.023006 0.7 178 -0.788760 2.318117 18.856390 0.019681 0.7 179 -0.800434 1.634494 19.425904 0.019545 0.6 180 -0.825685 2.634494 18.603974 0.015068 0.7 181 -0.813365 1.950872 19.158117 0.005026 0.7 182 -0.815774 1.350918 19.672369 0.008429 0.9 183 -0.822835 0.963509 20.019365 0.010706 0.7 184 -0.805807 1.776479 19.304805 0.009510 0.6 185 -0.813499 1.093753 19.901349 0.014110 0.6 186 -0.812920 0.410142 20.536785 0.014901 0.6 187 -0.807328 1.410100 19.620417 0.008358 0.6 188 -0.817374 1.977082 19.136263 0.011768 0.6 189 -0.824249 2.765337 18.501547 0.009836 0.7 190 -0.821578 3.376516 18.037668 0.011154 0.6 191 -0.801360 4.371766 17.330110 0.006768 0.6 192 -0.793186 3.689132 17.809273 0.009327 0.6 193 -0.828641 3.125721 18.225175 0.010741 0.7 194 -0.829854 3.980354 17.601652 0.018885 0.7 195 -0.812618 4.980323 16.924174 0.021656 0.7 196 -0.828983 4.296710 17.381529 0.009135 0.6 197 -0.836747 5.296263 16.720836 0.012431 0.6 198 -0.801284 4.612661 17.167115 0.011488 0.6 199 -0.848145 4.537943 17.217342 0.016258 0.6 200 -0.828192 3.854320 17.690908 0.010703 0.8 201 -0.840370 4.845710 17.012320 0.014990 0.6 202 -0.837407 4.545050 17.212552 0.018250 0.7 203 -0.819934 3.861427 17.685851 0.009324 0.6 204 -0.814048 3.177872 18.185865 0.024843 0.6 205 -0.865131 2.494251 18.715025 0.012505 0.6 206 -0.846209 1.810628 19.275905 0.014972 0.6 207 -0.836320 1.260198 19.752542 0.009127 0.7 208 -0.841111 0.576584 20.378365 0.005151 0.7 209 -0.855478 0.000000 20.937881 0.017429 0.6 210 -0.833777 0.000000 20.937881 0.008521 0.7 211 -0.840775 0.939910 20.040898 0.009498 0.6 212 -0.858164 0.289063 20.653587 0.012956 0.7 213 -0.866915 1.278558 19.736263 0.010907 0.7 214 -0.822787 2.229101 18.928649 0.011664 0.7 215 -0.833641 2.253479 18.908805 0.003696 0.7 216 -0.860830 1.719340 19.353357 0.018627 0.7 217 -0.864759 1.182005 19.822171 0.013647 0.7 218 -0.849120 0.548973 20.404475 0.010969 0.7 219 -0.847881 1.450143 19.585421 0.014179 0.6 220 -0.825814 0.766530 20.200533 0.007935 0.6 221 -0.870670 0.084193 20.854272 0.015243 0.6 222 -0.847752 0.000000 20.937881 0.015454 0.6 223 -0.869347 0.887579 20.088813 0.023021 0.7 224 -0.858013 0.203956 20.736484 0.009392 0.7 225 -0.859851 1.203751 19.802757 0.008057 0.8 226 -0.847525 0.527560 20.424772 0.014092 0.6 227 -0.846004 0.000000 20.937881 0.012143 0.7 228 -0.860151 0.502076 20.448979 0.008238 0.7 229 -0.859516 0.000000 20.937881 0.011939 0.7 230 -0.869516 0.000000 20.937881 0.010841 0.7 231 -0.885828 0.000000 20.937881 0.009198 0.7 232 -0.864849 0.000000 20.937881 0.013734 0.8 233 -0.856421 0.000000 20.937881 0.021598 0.6 234 -0.873844 0.000000 20.937881 0.013816 0.7 235 -0.880976 1.000000 19.986159 0.013562 0.7 236 -0.860750 0.317457 20.626077 0.009046 0.7 237 -0.856835 0.000000 20.937881 0.011710 0.7 238 -0.889028 0.000000 20.937881 0.009012 0.6 239 -0.869502 0.000000 20.937881 0.009716 0.6 240 -0.877129 0.000000 20.937881 0.010777 0.6 241 -0.855543 0.326106 20.617711 0.008159 0.6 242 -0.867369 0.000000 20.937881 0.009193 0.6 243 -0.889995 0.000000 20.937881 0.007125 0.7 244 -0.885352 0.000000 20.937881 0.010247 0.7 245 -0.865236 0.000000 20.937881 0.012350 0.6 246 -0.868229 0.000000 20.937881 0.009634 0.6 247 -0.854197 0.809797 20.160458 0.010269 0.7 248 -0.878548 0.140421 20.798805 0.012096 0.7 249 -0.872841 0.000000 20.937881 0.007799 0.7 250 -0.889777 0.000000 20.937881 0.009332 0.7 251 -0.896624 0.000000 20.937881 0.014968 0.6 252 -0.887972 0.000000 20.937881 0.014127 0.6 253 -0.887649 0.175159 20.764684 0.009242 0.7 254 -0.890147 0.000000 20.937881 0.020660 0.7 255 -0.890259 0.000000 20.937881 0.017818 0.7 Time spent in resolution 1 (ITK initialization and iterating): 0.196 s. Stopping condition: Maximum number of iterations has been reached. Settings of AdaptiveStochasticGradientDescent in resolution 1: ( SP_a 439.695498 ) ( SP_A 20.000000 ) ( SP_alpha 1.000000 ) ( SigmoidMax 1.000000 ) ( SigmoidMin -0.683623 ) ( SigmoidScale 0.000010 )
Resolution: 2 WARNING: The parameter "ShowExactMetricValue", requested at entry number 2, does not exist at all. The default value "false" is used instead. WARNING: The parameter "UseMultiThreadingForMetrics", requested at entry number 2, does not exist at all. The default value "true" is used instead. Setting the fixed masks took: 0 ms. Setting the moving masks took: 0 ms. WARNING: The parameter "FixedImageBSplineInterpolationOrder", requested at entry number 2, does not exist at all. The default value "1" is used instead. WARNING: The parameter "UseRandomSampleRegion", requested at entry number 2, does not exist at all. The default value "false" is used instead. WARNING: The parameter "NumberOfHistogramBins", requested at entry number 2, does not exist at all. The default value "32" is used instead. WARNING: The parameter "NumberOfFixedHistogramBins", requested at entry number 2, does not exist at all. The default value "32" is used instead. WARNING: The parameter "NumberOfMovingHistogramBins", requested at entry number 2, does not exist at all. The default value "32" is used instead. WARNING: The parameter "FixedLimitRangeRatio", requested at entry number 2, does not exist at all. The default value "0.01" is used instead. WARNING: The parameter "MovingLimitRangeRatio", requested at entry number 2, does not exist at all. The default value "0.01" is used instead. WARNING: The parameter "FixedKernelBSplineOrder", requested at entry number 2, does not exist at all. The default value "0" is used instead. WARNING: The parameter "MovingKernelBSplineOrder", requested at entry number 2, does not exist at all. The default value "3" is used instead. WARNING: The parameter "UseFastAndLowMemoryVersion", requested at entry number 2, does not exist at all. The default value "true" is used instead. WARNING: The parameter "UseJacobianPreconditioning", requested at entry number 2, does not exist at all. The default value "false" is used instead. WARNING: The parameter "FiniteDifferenceDerivative", requested at entry number 2, does not exist at all. The default value "false" is used instead. WARNING: The parameter "SP_A", requested at entry number 2, does not exist at all. The default value "20" is used instead.
WARNING: You have set MaximumNumberOfSamplingAttempts to 8. This functionality is known to cause problems (stack overflow) for large values. If elastix stops or segfaults for no obvious reason, reduce this value. You may select the RandomSparseMask image sampler to fix mask-related problems.
WARNING: The parameter "SigmoidInitialTime", requested at entry number 2, does not exist at all. The default value "0" is used instead. WARNING: The parameter "MaxBandCovSize", requested at entry number 2, does not exist at all. The default value "192" is used instead. WARNING: The parameter "NumberOfBandStructureSamples", requested at entry number 2, does not exist at all. The default value "10" is used instead. WARNING: The parameter "UseAdaptiveStepSizes", requested at entry number 2, does not exist at all. The default value "true" is used instead. WARNING: The parameter "UseConstantStep", requested at entry number 2, does not exist at all. The default value "false" is used instead. WARNING: The parameter "MaximumStepLengthRatio", requested at entry number 2, does not exist at all. The default value "1" is used instead. WARNING: The parameter "MaximumStepLength", requested at entry number 2, does not exist at all. The default value "1" is used instead. WARNING: The parameter "NumberOfGradientMeasurements", requested at entry number 2, does not exist at all. The default value "0" is used instead. WARNING: The parameter "NumberOfJacobianMeasurements", requested at entry number 2, does not exist at all. The default value "1000" is used instead. WARNING: The parameter "SigmoidScaleFactor", requested at entry number 2, does not exist at all. The default value "0.1" is used instead. Elastix initialization of all components (for this resolution) took: 0 ms. Computing the fixed image extrema took 0 ms. Computing the moving image extrema took 0 ms. Initialization of AdvancedMattesMutualInformation metric took: 1 ms. Starting automatic parameter estimation for AdaptiveStochasticGradientDescent ... WARNING: The parameter "ASGDParameterEstimationMethod", requested at entry number 0, does not exist at all. The default value "Original" is used instead. Computing JacobianTerms ... Computing the Jacobian terms took 0.000383s NumberOfGradientMeasurements to estimate sigma_i: 14 Sampling gradients ... Sampling the gradients took 0.020538s Automatic parameter estimation took 0.02s 1:ItNr 2:Metric 3a:Time 3b:StepSize 4:||Gradient|| Time[ms] 0 -0.757412 0.000000 14.068217 0.026867 24.6 1 -0.753451 0.000000 14.068217 0.015899 0.7 2 -0.774086 0.000000 14.068217 0.017726 0.7 3 -0.775798 0.000000 14.068217 0.021350 0.8 4 -0.741091 0.000000 14.068217 0.021106 0.6 5 -0.779851 0.000000 14.068217 0.014854 0.6 6 -0.761029 0.000000 14.068217 0.014000 0.6 7 -0.734682 0.981782 13.439882 0.017149 0.6 8 -0.780662 1.393135 13.192996 0.025070 0.6 9 -0.749955 0.747363 13.584753 0.015850 0.6 10 -0.762883 0.101623 14.000466 0.012897 0.7 11 -0.764506 0.000000 14.068217 0.015219 0.7 12 -0.778244 0.000000 14.068217 0.022281 0.6 13 -0.780643 0.987735 13.436243 0.014345 0.7 14 -0.769875 0.342266 13.842605 0.009665 0.7 15 -0.778924 0.000000 14.068217 0.017154 0.7 16 -0.791705 0.000000 14.068217 0.010466 0.7 17 -0.761188 0.000000 14.068217 0.020200 1.2 18 -0.783711 0.219759 13.922522 0.026393 0.7 19 -0.794150 1.219717 13.295964 0.024747 0.7 20 -0.781495 2.174786 12.748016 0.022356 0.7 21 -0.788076 3.174784 12.220690 0.033971 0.7 22 -0.765476 3.919472 11.855490 0.021256 0.7 23 -0.783394 3.273551 12.170966 0.017930 0.6 24 -0.762965 4.271670 11.690266 0.022103 0.7 25 -0.817263 5.270860 11.245637 0.022280 0.7 26 -0.794580 6.270857 10.833270 0.016518 0.7 27 -0.779577 5.624938 11.096084 0.022642 0.7 28 -0.777255 4.980686 11.371237 0.013207 0.6 29 -0.804938 4.422394 11.620957 0.034153 0.6 30 -0.791216 5.422389 11.181145 0.021929 0.7 31 -0.794956 4.776468 11.461328 0.022801 0.7 32 -0.809096 5.667570 11.078345 0.027046 0.8 33 -0.777797 5.021649 11.353337 0.008401 0.7 34 -0.788950 5.963001 10.956961 0.007333 0.7 35 -0.798779 5.777556 11.032842 0.035138 0.7 36 -0.771738 5.351534 11.211209 0.014532 0.7 37 -0.814594 4.705636 11.492910 0.026265 0.7 38 -0.806116 4.059717 11.789142 0.017586 0.7 39 -0.788736 5.059486 11.336853 0.012379 0.7 40 -0.785060 4.416920 11.623460 0.009877 0.6 41 -0.789783 4.231846 11.708718 0.022842 0.6 42 -0.807489 5.216037 11.269154 0.010500 0.7 43 -0.776019 4.857300 11.425499 0.017688 0.8 44 -0.786174 4.365481 11.647031 0.021591 0.7 45 -0.810640 5.365448 11.205292 0.011294 0.7 46 -0.793744 4.722427 11.485407 0.013363 0.7 47 -0.815836 5.068219 11.333055 0.016599 0.6 48 -0.797942 4.440884 11.612511 0.009915 0.7 49 -0.816958 3.828555 11.898902 0.024196 0.7 50 -0.827527 3.203281 12.206302 0.012223 0.7 51 -0.810880 3.289534 12.162957 0.020050 0.7 52 -0.801502 2.644490 12.494774 0.009559 0.7 53 -0.820976 2.525932 12.557741 0.016262 0.7 54 -0.786507 1.910298 12.895186 0.039562 0.7 55 -0.785859 1.264666 13.269121 0.020918 0.7 56 -0.799684 0.618745 13.665574 0.026762 0.7 57 -0.822270 0.343505 13.841801 0.017068 0.7 58 -0.833630 1.343462 13.222327 0.016016 0.6 59 -0.808565 2.256970 12.702969 0.015223 0.6 60 -0.834324 1.611841 13.065392 0.030741 0.7 61 -0.812301 0.966043 13.449512 0.026850 0.8 62 -0.800998 1.961639 12.866353 0.013623 0.6 63 -0.822619 2.113549 12.781791 0.024122 0.6 64 -0.808022 3.096108 12.260592 0.011381 1.2 65 -0.836700 2.450361 12.598209 0.012831 0.7 66 -0.796455 1.818196 12.947236 0.019872 0.7 67 -0.809590 1.173556 13.323643 0.013894 0.7 68 -0.825435 2.003333 12.843033 0.027085 0.7 69 -0.853070 1.359677 13.212738 0.019407 0.6 70 -0.835849 0.713756 13.605779 0.011610 0.7 71 -0.828924 0.173541 13.952912 0.030651 0.7 72 -0.834143 0.000000 14.068217 0.033454 0.7 73 -0.832256 1.000000 13.428752 0.022389 0.7 74 -0.831750 0.354079 13.834947 0.010121 0.7 75 -0.807716 0.000000 14.068217 0.030621 0.6 76 -0.829062 0.000000 14.068217 0.011046 0.7 77 -0.810576 0.000000 14.068217 0.017165 0.8 78 -0.856158 0.000000 14.068217 0.011816 0.7 79 -0.838650 0.000000 14.068217 0.018309 0.7 80 -0.831965 0.000000 14.068217 0.016246 0.6 81 -0.835235 0.000000 14.068217 0.016884 0.7 82 -0.845123 0.000000 14.068217 0.011087 0.7 83 -0.844255 0.000000 14.068217 0.012441 0.7 84 -0.857061 0.000000 14.068217 0.023694 0.7 85 -0.866021 0.000000 14.068217 0.012743 0.6 86 -0.850430 0.000000 14.068217 0.024358 0.6 87 -0.844103 0.000000 14.068217 0.026389 0.6 88 -0.857484 0.536395 13.717827 0.014881 0.7 89 -0.867702 1.532762 13.111245 0.024351 0.7 90 -0.853443 2.527912 12.556684 0.032719 0.7 91 -0.858173 3.527912 12.044750 0.025366 0.7 92 -0.909709 4.527912 11.572923 0.029937 0.6 93 -0.843451 3.881990 11.873349 0.016518 0.7 94 -0.871696 3.237670 12.188983 0.017632 0.6 95 -0.873458 2.595379 12.520780 0.012095 1.0 96 -0.867858 1.951134 12.872242 0.024473 0.7 97 -0.891457 2.180988 12.744606 0.022051 0.7 98 -0.864244 2.357070 12.648528 0.026262 0.6 99 -0.864940 1.711148 13.008261 0.015253 0.7 100 -0.866693 1.065251 13.389041 0.026715 0.7 101 -0.902332 0.420437 13.792088 0.013118 0.7 102 -0.926121 0.000000 14.068217 0.024487 0.6 103 -0.871518 0.000000 14.068217 0.026768 0.6 104 -0.876854 0.999962 13.428776 0.038393 0.6 105 -0.889780 0.354041 13.834972 0.021113 0.7 106 -0.878011 0.000000 14.068217 0.020484 0.7 107 -0.907306 0.000000 14.068217 0.036832 0.7 108 -0.874996 0.000000 14.068217 0.019741 0.7 109 -0.930217 0.999734 13.428915 0.018886 0.7 110 -0.895146 0.353814 13.835119 0.024733 0.6 111 -0.890479 0.000000 14.068217 0.026338 0.7 112 -0.927526 0.000000 14.068217 0.040163 0.8 113 -0.934293 0.000000 14.068217 0.012274 0.7 114 -0.905935 0.000000 14.068217 0.013865 0.7 115 -0.921045 0.000000 14.068217 0.016343 0.7 116 -0.922418 0.000000 14.068217 0.033613 0.7 117 -0.939194 0.000000 14.068217 0.027769 0.7 118 -0.932655 0.000000 14.068217 0.034323 0.7 119 -0.920092 0.000000 14.068217 0.044743 0.7 120 -0.932788 1.000000 13.428752 0.028034 0.7 121 -0.937399 2.000000 12.844894 0.025696 0.6 122 -0.941181 2.999966 12.309707 0.014397 0.7 123 -0.946033 3.456398 12.079970 0.021765 0.7 124 -0.928268 2.813311 12.406194 0.018557 0.7 125 -0.923769 2.190729 12.739253 0.028152 0.7 126 -0.955364 1.544808 13.104239 0.026986 0.6 127 -0.941505 2.415124 12.617168 0.038522 0.6 128 -0.965744 3.379772 12.117938 0.012802 0.7 129 -0.943340 2.733970 12.447667 0.018301 0.7 130 -0.933298 2.336769 12.659531 0.023795 0.7 131 -0.975606 1.692047 13.019211 0.024955 0.7 132 -0.965567 2.393715 12.628715 0.015036 0.6 133 -1.019587 1.779371 12.969302 0.029935 0.6 134 -0.976350 1.171434 13.324919 0.018958 0.6 135 -0.986002 0.525513 13.724763 0.022110 0.6 136 -0.983353 0.000000 14.068217 0.027472 0.7 137 -0.974602 0.000000 14.068217 0.035049 0.6 138 -0.982314 0.999008 13.429358 0.044324 0.6 139 -0.997722 1.999005 12.845449 0.016990 0.6 140 -1.004733 2.112822 12.782193 0.038998 0.6 141 -0.998771 1.466901 13.149680 0.022867 0.6 142 -0.999126 2.147436 12.763079 0.025043 0.6 143 -0.987049 1.536033 13.109342 0.024047 0.7 144 -0.998599 2.536022 12.552357 0.021125 0.7 145 -0.967732 3.385822 12.114931 0.024674 0.6 146 -0.993680 4.313862 11.670781 0.031854 0.7 147 -0.996407 3.667941 11.976377 0.013148 0.7 148 -1.025988 3.844082 11.891466 0.046443 0.9 149 -1.015995 4.824834 11.439863 0.029243 0.6 150 -0.997601 5.776834 11.033140 0.018166 0.7 151 -1.038025 5.130934 11.305855 0.038344 0.6 152 -1.016982 4.485013 11.592403 0.026182 0.7 153 -1.016053 5.485013 11.154707 0.032086 0.7 154 -1.043924 6.485013 10.748860 0.018010 0.7 155 -1.021647 5.839227 11.007491 0.023392 0.7 156 -1.009795 5.193306 11.278933 0.016695 0.7 157 -1.003986 5.803825 11.022030 0.016455 0.6 158 -1.009688 6.327284 10.810901 0.035279 0.7 159 -1.018547 5.681362 11.072619 0.023772 0.7 160 -1.021165 6.681362 10.672616 0.035743 0.7 161 -1.026068 6.035459 10.927595 0.025538 0.6 162 -1.004275 5.389538 11.195064 0.039257 1.3 163 -1.015802 6.389538 10.786329 0.036528 0.7 164 -1.028855 7.058220 10.529269 0.020913 0.8 165 -1.056538 8.058220 10.166919 0.018194 0.7 166 -1.012175 7.413296 10.397687 0.014053 0.7 167 -1.031408 7.844301 10.242320 0.028108 0.7 168 -1.040073 8.840771 9.900299 0.033884 0.6 169 -1.030157 9.840771 9.579286 0.041518 0.7 170 -1.027054 10.840771 9.278436 0.022933 0.7 171 -1.040868 11.839244 8.996326 0.013955 0.6 172 -1.051026 12.816641 8.736307 0.020769 0.6 173 -1.049856 12.170833 8.906395 0.035586 0.6 174 -1.065660 13.074672 8.670151 0.006709 0.6 175 -1.033698 12.528610 8.811357 0.027877 0.6 176 -1.025809 11.920846 8.974027 0.033464 0.6 177 -1.059994 12.920846 8.709469 0.020463 0.7 178 -1.039526 13.920810 8.460072 0.023717 0.7 179 -1.046366 13.274889 8.619504 0.035198 0.6 180 -1.042400 14.274889 8.375152 0.040410 0.7 181 -1.035593 15.274889 8.144272 0.015985 0.7 182 -1.026132 14.628968 8.291920 0.019473 0.7 183 -1.036088 15.623165 8.066822 0.021244 0.7 184 -1.048397 14.984502 8.209994 0.007840 0.6 185 -1.067482 15.248535 8.150193 0.015581 0.6 186 -1.046940 15.012143 8.203693 0.023902 0.6 187 -1.042841 14.366970 8.353346 0.045667 0.6 188 -1.026573 15.366970 8.123650 0.043172 0.6 189 -1.033710 16.366970 7.906249 0.011475 0.6 190 -1.044868 15.747735 8.039477 0.045702 0.6 191 -1.022289 15.101904 8.183296 0.043806 0.6 192 -1.057274 16.101904 7.962733 0.014115 0.7 193 -1.069536 17.101904 7.753748 0.013815 0.7 194 -1.051337 17.028654 7.768683 0.015846 0.7 195 -1.047516 16.467443 7.885047 0.029726 0.6 196 -1.050193 15.821522 8.023366 0.022827 0.6 197 -1.051640 16.821520 7.811229 0.032201 0.6 198 -1.027951 16.175598 7.946948 0.026733 0.6 199 -1.029923 17.175598 7.738780 0.024545 0.6 200 -1.076845 16.529677 7.871972 0.021438 0.7 201 -1.048063 16.888488 7.797423 0.016657 0.7 202 -1.056185 17.882232 7.598138 0.020095 0.7 203 -1.053991 17.243287 7.725083 0.015003 0.7 204 -1.054302 18.184774 7.539473 0.019356 0.7 205 -1.040814 19.184593 7.351886 0.024182 0.6 206 -1.066059 20.184591 7.173376 0.038342 0.7 207 -1.043455 21.183639 7.003487 0.011491 0.7 208 -1.050199 22.183598 6.841314 0.012951 0.7 209 -1.071968 21.579694 6.938344 0.022741 0.6 210 -1.030597 22.577820 6.779425 0.012971 0.6 211 -1.037203 23.577613 6.627375 0.036519 0.7 212 -1.054571 22.931692 6.724816 0.041632 0.8 213 -1.073960 23.931692 6.575149 0.018016 0.8 214 -1.037182 23.285770 6.671049 0.018906 0.6 215 -1.049042 24.285264 6.523812 0.025316 0.6 216 -1.074566 23.639391 6.618203 0.014711 0.6 217 -1.043282 24.630948 6.474390 0.022757 0.6 218 -1.056261 25.618292 6.337267 0.039418 0.7 219 -1.042052 25.032126 6.417965 0.044540 0.6 220 -1.111080 26.032126 6.281505 0.044549 0.6 221 -1.076006 25.386204 6.368975 0.008390 0.6 222 -1.061284 24.740357 6.458903 0.034686 0.6 223 -1.055468 25.730063 6.322109 0.014309 0.6 224 -1.053084 26.730063 6.189654 0.017787 0.6 225 -1.074282 26.084270 6.274549 0.017009 0.7 226 -1.072825 26.954434 6.160693 0.026678 0.7 227 -1.086145 27.952426 6.035095 0.015593 0.6 228 -1.065720 28.803945 5.931911 0.034809 0.7 229 -1.066941 28.164568 6.009054 0.025972 0.7 230 -1.060425 29.164568 5.889267 0.016313 0.7 231 -1.071557 28.524059 5.965435 0.021262 0.8 232 -1.062873 27.878146 6.044267 0.042395 0.7 233 -1.036884 28.878146 5.923086 0.012047 0.6 234 -1.076806 28.801119 5.932247 0.031697 0.6 235 -1.040665 29.701033 5.826953 0.029271 0.7 236 -1.065021 30.701033 5.714249 0.016493 0.7 237 -1.054416 31.701005 5.605824 0.012402 0.7 238 -1.048791 32.468018 5.525407 0.026358 0.7 239 -1.067509 32.858440 5.485353 0.012874 0.7 240 -1.070389 33.792348 5.391858 0.031495 0.7 241 -1.067448 33.146725 5.456148 0.021397 0.6 242 -1.050939 32.500805 5.522021 0.026978 0.7 243 -1.076138 33.500805 5.420701 0.029509 0.6 244 -1.050576 34.490618 5.324009 0.046160 0.6 245 -1.057669 35.490618 5.229763 0.028443 0.6 246 -1.063480 36.490618 5.138796 0.029148 0.6 247 -1.066894 35.844697 5.197188 0.033361 0.6 248 -1.057402 36.844697 5.107340 0.013569 0.7 249 -1.052095 36.198778 5.165015 0.008918 0.7 250 -1.073229 35.565215 5.222866 0.016318 0.7 251 -1.039969 36.047356 5.178725 0.050625 0.6 252 -1.071288 37.047356 5.089509 0.034701 0.6 253 -1.010434 38.047356 5.003316 0.016547 0.7 254 -1.062016 39.047352 4.919993 0.014648 0.7 255 -1.066120 40.046382 4.839477 0.018973 0.7 Time spent in resolution 2 (ITK initialization and iterating): 0.199 s. Stopping condition: Maximum number of iterations has been reached. Settings of AdaptiveStochasticGradientDescent in resolution 2: ( SP_a 295.432555 ) ( SP_A 20.000000 ) ( SP_alpha 1.000000 ) ( SigmoidMax 1.000000 ) ( SigmoidMin -0.645921 ) ( SigmoidScale 0.000024 )
Resolution: 3 WARNING: The parameter "ShowExactMetricValue", requested at entry number 3, does not exist at all. The default value "false" is used instead. WARNING: The parameter "UseMultiThreadingForMetrics", requested at entry number 3, does not exist at all. The default value "true" is used instead. Setting the fixed masks took: 0 ms. Setting the moving masks took: 0 ms. WARNING: The parameter "FixedImageBSplineInterpolationOrder", requested at entry number 3, does not exist at all. The default value "1" is used instead. WARNING: The parameter "UseRandomSampleRegion", requested at entry number 3, does not exist at all. The default value "false" is used instead. WARNING: The parameter "NumberOfHistogramBins", requested at entry number 3, does not exist at all. The default value "32" is used instead. WARNING: The parameter "NumberOfFixedHistogramBins", requested at entry number 3, does not exist at all. The default value "32" is used instead. WARNING: The parameter "NumberOfMovingHistogramBins", requested at entry number 3, does not exist at all. The default value "32" is used instead. WARNING: The parameter "FixedLimitRangeRatio", requested at entry number 3, does not exist at all. The default value "0.01" is used instead. WARNING: The parameter "MovingLimitRangeRatio", requested at entry number 3, does not exist at all. The default value "0.01" is used instead. WARNING: The parameter "FixedKernelBSplineOrder", requested at entry number 3, does not exist at all. The default value "0" is used instead. WARNING: The parameter "MovingKernelBSplineOrder", requested at entry number 3, does not exist at all. The default value "3" is used instead. WARNING: The parameter "UseFastAndLowMemoryVersion", requested at entry number 3, does not exist at all. The default value "true" is used instead. WARNING: The parameter "UseJacobianPreconditioning", requested at entry number 3, does not exist at all. The default value "false" is used instead. WARNING: The parameter "FiniteDifferenceDerivative", requested at entry number 3, does not exist at all. The default value "false" is used instead. WARNING: The parameter "SP_A", requested at entry number 3, does not exist at all. The default value "20" is used instead.
WARNING: You have set MaximumNumberOfSamplingAttempts to 8. This functionality is known to cause problems (stack overflow) for large values. If elastix stops or segfaults for no obvious reason, reduce this value. You may select the RandomSparseMask image sampler to fix mask-related problems.
WARNING: The parameter "SigmoidInitialTime", requested at entry number 3, does not exist at all. The default value "0" is used instead. WARNING: The parameter "MaxBandCovSize", requested at entry number 3, does not exist at all. The default value "192" is used instead. WARNING: The parameter "NumberOfBandStructureSamples", requested at entry number 3, does not exist at all. The default value "10" is used instead. WARNING: The parameter "UseAdaptiveStepSizes", requested at entry number 3, does not exist at all. The default value "true" is used instead. WARNING: The parameter "UseConstantStep", requested at entry number 3, does not exist at all. The default value "false" is used instead. WARNING: The parameter "MaximumStepLengthRatio", requested at entry number 3, does not exist at all. The default value "1" is used instead. WARNING: The parameter "MaximumStepLength", requested at entry number 3, does not exist at all. The default value "1" is used instead. WARNING: The parameter "NumberOfGradientMeasurements", requested at entry number 3, does not exist at all. The default value "0" is used instead. WARNING: The parameter "NumberOfJacobianMeasurements", requested at entry number 3, does not exist at all. The default value "1000" is used instead. WARNING: The parameter "SigmoidScaleFactor", requested at entry number 3, does not exist at all. The default value "0.1" is used instead. Elastix initialization of all components (for this resolution) took: 0 ms. Computing the fixed image extrema took 0 ms. Computing the moving image extrema took 0 ms. Initialization of AdvancedMattesMutualInformation metric took: 1 ms. Starting automatic parameter estimation for AdaptiveStochasticGradientDescent ... WARNING: The parameter "ASGDParameterEstimationMethod", requested at entry number 0, does not exist at all. The default value "Original" is used instead. Computing JacobianTerms ... Computing the Jacobian terms took 0.000382s NumberOfGradientMeasurements to estimate sigma_i: 14 Sampling gradients ... Sampling the gradients took 0.021222s Automatic parameter estimation took 0.02s 1:ItNr 2:Metric 3a:Time 3b:StepSize 4:||Gradient|| Time[ms] 0 -0.988756 0.000000 9.149205 0.014175 26.5 1 -0.963438 0.000000 9.149205 0.021692 0.7 2 -0.965543 0.437847 8.962342 0.018556 0.7 3 -0.974867 1.426581 8.567213 0.023495 0.7 4 -0.972026 1.059450 8.709796 0.056754 0.7 5 -0.953273 2.059378 8.332111 0.025604 0.7 6 -0.991162 3.059378 7.985797 0.031363 0.7 7 -0.997245 4.059329 7.667137 0.037090 0.7 8 -1.008506 5.053242 7.374641 0.066635 0.7 9 -0.975726 4.671999 7.484158 0.024872 0.7 10 -0.996746 5.671960 7.203569 0.031480 0.7 11 -0.966331 5.291490 7.307813 0.023779 0.7 12 -0.983051 6.291418 7.040063 0.027557 0.8 13 -0.965937 7.291208 6.791272 0.024508 0.7 14 -0.996537 8.291098 6.559443 0.033976 0.7 15 -0.971315 8.343541 6.547720 0.016668 1.2 16 -0.987542 7.962732 6.633811 0.038325 0.7 17 -0.973692 8.785643 6.450534 0.041037 0.7 18 -0.998260 9.333966 6.333933 0.037230 0.7 19 -0.993193 10.333966 6.131790 0.022675 0.7 20 -0.978538 11.333656 5.942208 0.028735 0.7 21 -0.969011 11.411988 5.927847 0.027623 0.7 22 -0.975475 12.411763 5.750469 0.017211 0.6 23 -0.993107 12.698283 5.701575 0.020097 0.7 24 -1.009228 12.358337 5.759679 0.034887 0.7 25 -0.991518 13.358112 5.592080 0.018275 0.7 26 -0.997480 12.977133 5.654783 0.040144 0.6 27 -1.011407 13.977003 5.493132 0.026483 0.7 28 -0.976069 14.764755 5.372141 0.029193 0.7 29 -0.979759 15.062979 5.327716 0.026516 0.7 30 -0.988469 16.062657 5.184013 0.044451 0.7 31 -1.008293 15.681413 5.237893 0.031919 0.7 32 -1.001742 16.664330 5.101201 0.022525 0.7 33 -0.978109 17.550447 4.983945 0.027523 0.8 34 -0.983550 17.174996 5.032962 0.025758 0.7 35 -0.995420 18.174858 4.904505 0.029959 0.7 36 -1.001275 17.793620 4.952704 0.009477 0.7 37 -0.977348 17.558113 4.982954 0.061225 0.7 38 -0.962916 18.545444 4.858545 0.031070 0.6 39 -0.976249 19.545444 4.738715 0.019145 0.7 40 -0.994055 20.132867 4.671041 0.082102 0.8 41 -0.979040 21.116615 4.561936 0.026030 0.7 42 -0.983858 22.116615 4.456131 0.021399 0.7 43 -0.957171 21.736141 4.495804 0.026385 0.6 44 -0.964158 22.670470 4.399616 0.016398 0.6 45 -0.963950 23.664636 4.301687 0.055626 0.6 46 -0.971585 24.569524 4.216268 0.019738 0.6 47 -0.969171 24.188280 4.251839 0.038806 0.8 48 -0.959208 23.807082 4.288012 0.059637 0.7 49 -0.978598 24.807082 4.194402 0.029575 0.7 50 -0.981810 24.425838 4.229604 0.024925 0.7 51 -0.974157 25.422756 4.138774 0.021483 0.7 52 -0.998426 25.272090 4.152250 0.042498 0.7 53 -0.992890 24.898896 4.186011 0.019080 0.7 54 -0.992245 24.608745 4.212642 0.033376 0.7 55 -0.967038 25.607806 4.122342 0.035784 0.7 56 -0.990198 25.226770 4.156321 0.038644 0.7 57 -1.027778 26.226567 4.068331 0.059068 0.7 58 -0.977314 27.226561 3.983973 0.064564 0.7 59 -1.002954 28.226561 3.903041 0.038937 0.7 60 -0.982064 27.850046 3.933124 0.017870 0.7 61 -0.980047 27.468816 3.964060 0.048200 0.6 62 -0.943524 28.425306 3.887347 0.028724 0.7 63 -0.985683 28.044063 3.917565 0.040403 0.7 64 -0.998985 29.044061 3.839283 0.020020 0.7 65 -0.992558 30.043632 3.764099 0.030394 0.7 66 -1.015611 31.042209 3.691875 0.024194 0.7 67 -0.976624 30.953645 3.698168 0.038630 0.6 68 -0.968744 31.953581 3.628334 0.023941 0.7 69 -1.001454 32.953300 3.561104 0.012137 0.6 70 -0.955454 33.861161 3.502174 0.054537 0.7 71 -0.971126 34.811105 3.442564 0.023187 0.7 72 -0.961342 34.430405 3.466208 0.041571 0.7 73 -0.982713 34.049162 3.490213 0.029437 0.6 74 -0.967368 34.496201 3.462098 0.055842 0.7 75 -0.982101 34.114957 3.486047 0.048765 0.8 76 -0.976944 35.114957 3.423923 0.016915 0.7 77 -0.998611 34.737931 3.447083 0.017106 0.7 78 -0.990896 35.657125 3.391159 0.029996 0.7 79 -0.980426 35.445553 3.403870 0.010042 0.6 80 -0.996813 35.239269 3.416355 0.017203 0.7 81 -0.966853 35.908919 3.376154 0.038537 0.7 82 -0.977202 35.530347 3.398764 0.036637 0.7 83 -0.972871 35.149103 3.421841 0.026346 0.7 84 -0.987893 34.982460 3.432027 0.063061 0.7 85 -0.991313 35.851084 3.379589 0.019538 0.7 86 -0.969668 35.469840 3.402406 0.071484 0.7 87 -0.981731 36.469840 3.343202 0.041493 0.7 88 -1.006105 37.469840 3.286024 0.037587 0.7 89 -1.005652 38.469840 3.230769 0.012985 0.7 90 -0.977737 38.089375 3.251571 0.025606 0.7 91 -0.977187 39.021997 3.201048 0.052275 0.7 92 -0.967255 38.640755 3.221510 0.028719 0.7 93 -0.986751 39.638781 3.168489 0.042334 0.7 94 -1.000537 39.257538 3.188536 0.049389 0.7 95 -0.996301 40.257538 3.136484 0.014635 0.7 96 -0.988962 40.991896 3.099329 0.013122 0.6 97 -0.987801 41.390347 3.079536 0.037572 0.7 98 -0.982459 41.116095 3.093132 0.031552 0.8 99 -0.977953 40.815355 3.108181 0.012566 0.7 100 -1.001604 41.401714 3.078975 0.026366 0.7 101 -0.992307 42.068113 3.046441 0.052142 0.7 102 -0.986731 41.686869 3.064969 0.017917 0.7 103 -0.986511 41.305634 3.083723 0.043230 0.7 104 -0.976007 42.305393 3.035023 0.034662 0.6 105 -0.987551 43.236374 2.991036 0.008815 0.6 106 -0.963582 44.108521 2.950970 0.017313 0.6 107 -0.966246 43.857805 2.962378 0.025305 0.6 108 -1.002223 44.674920 2.925520 0.047526 0.6 109 -0.998756 45.674917 2.881643 0.039854 0.6 110 -0.979177 45.293673 2.898215 0.030801 0.7 111 -0.986774 46.293673 2.855147 0.018560 0.7 112 -0.998354 47.292524 2.813387 0.036032 0.7 113 -0.998831 46.917033 2.828941 0.043493 0.6 114 -0.991776 46.535790 2.844911 0.037595 0.7 115 -0.999613 47.168934 2.818488 0.057955 0.7 116 -0.987618 46.787691 2.834339 0.048207 0.6 117 -0.981588 46.406448 2.850370 0.015670 0.7 118 -1.005340 46.349085 2.852798 0.021607 0.7 119 -0.998597 46.902752 2.829536 0.023176 0.7 120 -0.989652 47.892618 2.788881 0.035593 0.6 121 -0.982875 48.892538 2.748982 0.072557 0.7 122 -0.966567 49.892538 2.710205 0.034010 0.7 123 -0.990155 50.892538 2.672507 0.016196 0.7 124 -0.993006 50.511414 2.686750 0.046150 0.7 125 -0.989890 51.504013 2.649968 0.013695 0.6 126 -0.994414 51.222993 2.660279 0.027412 0.7 127 -0.979224 50.842946 2.674352 0.056936 0.8 128 -0.968298 50.461703 2.688619 0.039656 0.7 129 -0.985722 51.461703 2.651515 0.028384 0.7 130 -0.964576 52.461685 2.615422 0.018385 0.6 131 -1.012675 52.121610 2.627586 0.025066 0.6 132 -0.954893 51.744460 2.641209 0.058623 0.7 133 -0.988437 52.744460 2.605393 0.041210 0.7 134 -0.994998 52.363217 2.618932 0.020269 0.7 135 -0.950414 53.362881 2.583726 0.035049 0.7 136 -0.990038 52.981645 2.597040 0.031100 0.7 137 -0.992774 52.600869 2.610476 0.033704 0.6 138 -0.968542 52.256444 2.622750 0.022621 0.7 139 -0.985662 51.876993 2.636405 0.019660 0.8 140 -0.988600 52.867823 2.601042 0.039044 0.7 141 -0.983370 53.867749 2.566303 0.024327 0.7 142 -1.007555 53.486507 2.579438 0.024119 0.7 143 -0.985351 53.417364 2.581834 0.012415 0.7 144 -1.003667 53.043323 2.594877 0.017995 1.0 145 -0.996929 53.512583 2.578535 0.080276 0.7 146 -0.980456 53.131384 2.591794 0.029202 0.7 147 -1.008219 54.131384 2.557298 0.025154 0.7 148 -0.956852 53.972642 2.562712 0.053793 0.7 149 -0.989598 54.972642 2.528980 0.054122 0.7 150 -0.988463 54.591399 2.541735 0.012522 0.7 151 -0.993797 54.210191 2.554618 0.012583 0.6 152 -0.989063 53.882688 2.565791 0.070518 0.6 153 -0.963055 54.882620 2.531980 0.031597 0.6 154 -0.983870 54.501376 2.544766 0.012137 0.6 155 -1.019529 55.465865 2.512668 0.027616 0.7 156 -0.986244 55.086709 2.525189 0.037858 0.7 157 -0.997200 54.901334 2.531356 0.022956 0.6 158 -1.002140 55.901331 2.498439 0.034372 0.7 159 -1.003396 55.520129 2.510886 0.023166 0.7 160 -0.977644 56.520045 2.478498 0.034307 1.1 161 -0.992368 57.229216 2.456030 0.041162 0.8 162 -1.017045 58.225922 2.425132 0.030825 0.8 163 -0.979912 57.844680 2.436858 0.014424 0.6 164 -1.000918 58.836842 2.406574 0.049494 0.6 165 -0.994000 59.804165 2.377765 0.033513 0.6 166 -0.980012 60.804165 2.348698 0.013384 0.6 167 -0.983909 60.438006 2.359258 0.017022 0.6 168 -0.985470 60.081014 2.369646 0.013324 0.7 169 -1.015918 60.475916 2.358161 0.006175 0.6 170 -0.983712 60.550107 2.356015 0.031891 0.7 171 -0.997074 60.195854 2.366295 0.011643 0.6 172 -0.985451 60.882349 2.346456 0.031941 0.6 173 -0.977048 60.515409 2.357018 0.049019 0.7 174 -0.995313 61.515409 2.328454 0.037725 0.7 175 -0.994173 62.515409 2.300573 0.060943 0.7 176 -1.003384 62.134165 2.311123 0.018795 0.7 177 -0.975832 61.752926 2.321771 0.030952 0.6 178 -0.984297 62.750934 2.294103 0.044682 0.6 179 -0.988282 62.369690 2.304594 0.054083 1.0 180 -0.960793 61.994941 2.315000 0.049738 0.7 181 -0.987309 62.994941 2.287439 0.027034 0.7 182 -0.972032 63.994937 2.260526 0.014426 0.7 183 -0.993897 64.472456 2.247897 0.030256 0.7 184 -1.006203 64.094677 2.257877 0.027072 0.8 185 -0.987552 64.205302 2.254945 0.006888 0.7 186 -0.953256 64.088103 2.258051 0.050420 0.6 187 -0.966979 64.222569 2.254489 0.009430 0.6 188 -0.969027 63.913744 2.262688 0.029653 0.6 189 -0.997591 64.740190 2.240878 0.042814 0.6 190 -0.984932 65.740184 2.215044 0.019669 0.7 191 -0.987078 66.582931 2.193730 0.060533 0.7 192 -0.981860 67.582931 2.168965 0.019353 0.7 193 -0.978312 67.201959 2.178334 0.034663 0.6 194 -0.999121 68.186368 2.154290 0.062159 0.6 195 -0.998271 67.805124 2.163538 0.031658 0.6 196 -0.976724 67.423880 2.172867 0.023535 0.8 197 -0.981330 67.042677 2.182275 0.047173 0.7 198 -0.967918 68.042677 2.157766 0.030647 0.6 199 -0.978475 67.661433 2.167045 0.033135 0.6 200 -0.985576 67.280189 2.176403 0.028354 0.7 201 -0.983683 68.280184 2.152026 0.008771 0.7 202 -0.990097 68.077394 2.156926 0.019727 0.7 203 -0.977897 68.238059 2.153042 0.041594 0.7 204 -0.988206 69.238047 2.129183 0.058713 0.7 205 -0.978741 68.856803 2.138217 0.022973 0.7 206 -0.996757 69.856801 2.114683 0.034293 0.7 207 -0.982328 70.856633 2.091665 0.008519 0.6 208 -0.965492 70.521016 2.099335 0.011356 0.6 209 -0.978388 70.577045 2.098051 0.033451 0.7 210 -0.996250 71.517672 2.076720 0.032517 0.7 211 -0.981302 71.150129 2.085003 0.030814 0.7 212 -0.994550 70.768903 2.093665 0.043124 0.6 213 -0.979125 70.387664 2.102399 0.036379 0.7 214 -0.963410 70.006420 2.111206 0.028403 0.7 215 -0.998216 69.630277 2.119968 0.041862 0.6 216 -1.011100 69.249035 2.128924 0.031637 0.7 217 -0.988327 69.149115 2.131283 0.051380 0.7 218 -0.989923 70.149115 2.107901 0.011956 0.7 219 -0.984618 71.147555 2.085061 0.049604 0.7 220 -0.957726 72.145968 2.062712 0.010180 0.6 221 -0.991822 71.785431 2.070727 0.040869 0.6 222 -1.003667 71.437360 2.078524 0.021621 0.7 223 -0.983487 71.107202 2.085975 0.026326 0.6 224 -0.989566 70.800880 2.092935 0.042945 0.6 225 -0.965384 71.800762 2.070385 0.027893 0.7 226 -0.990432 72.800759 2.048313 0.023177 0.6 227 -0.985766 73.797254 2.026781 0.031818 0.7 228 -0.995570 73.683272 2.029221 0.017213 0.7 229 -0.993049 74.662639 2.008447 0.033781 0.7 230 -0.978687 74.341535 2.015211 0.064395 0.7 231 -0.988737 73.960293 2.023301 0.014709 0.6 232 -1.004305 74.959064 2.002242 0.021356 0.7 233 -0.990522 74.612374 2.009502 0.055437 0.6 234 -1.015669 74.231130 2.017547 0.050313 0.6 235 -0.982475 73.849887 2.025657 0.063986 0.6 236 -0.979949 74.849887 2.004523 0.044685 0.6 237 -0.973736 74.468643 2.012528 0.022988 0.6 238 -0.984841 74.087400 2.020597 0.028134 0.6 239 -0.976118 75.054963 2.000243 0.006988 0.7 240 -0.972224 75.661088 1.987701 0.031906 0.7 241 -0.997806 75.309564 1.994956 0.015428 0.7 242 -0.976978 74.928736 2.002875 0.037973 0.6 243 -0.981919 74.552521 2.010761 0.036912 0.7 244 -0.993507 75.552521 1.989936 0.022265 0.7 245 -0.977279 76.499032 1.970618 0.032723 0.7 246 -0.973991 77.112901 1.958288 0.025687 0.6 247 -0.984546 76.732380 1.965912 0.033639 0.6 248 -0.997782 76.351145 1.973611 0.011366 0.7 249 -0.970070 76.788497 1.964784 0.046626 0.7 250 -1.017284 76.407997 1.972459 0.027181 0.7 251 -0.978311 76.026759 1.980209 0.054370 0.7 252 -1.021210 77.026730 1.960009 0.017888 0.7 253 -0.982259 78.026724 1.940217 0.060468 0.7 254 -1.013270 77.645484 1.947715 0.029625 0.6 255 -0.981396 77.266494 1.955227 0.011900 0.7 Time spent in resolution 3 (ITK initialization and iterating): 0.202 s. Stopping condition: Maximum number of iterations has been reached. Settings of AdaptiveStochasticGradientDescent in resolution 3: ( SP_a 192.133304 ) ( SP_A 20.000000 ) ( SP_alpha 1.000000 ) ( SigmoidMax 1.000000 ) ( SigmoidMin -0.381244 ) ( SigmoidScale 0.000059 )
Creating the TransformParameterFile took 0.00s
Registration result checksum: 121430767
Final metric value = -0.981396 Settings of AdaptiveStochasticGradientDescent for all resolutions: ( SP_a 670.979810 439.695498 295.432555 192.133304 ) ( SP_A 20.000000 20.000000 20.000000 20.000000 ) ( SP_alpha 1.000000 1.000000 1.000000 1.000000 ) ( SigmoidMax 1.000000 1.000000 1.000000 1.000000 ) ( SigmoidMin -0.077794 -0.683623 -0.645921 -0.381244 ) ( SigmoidScale 0.000001 0.000010 0.000024 0.000059 )
Time spent on saving the results, applying the final transform etc.: 5 ms.
Thanks @kaspermarstal ! The above is the logout.
I believe you mean elastixImageFilter.LogToConsoleOn()
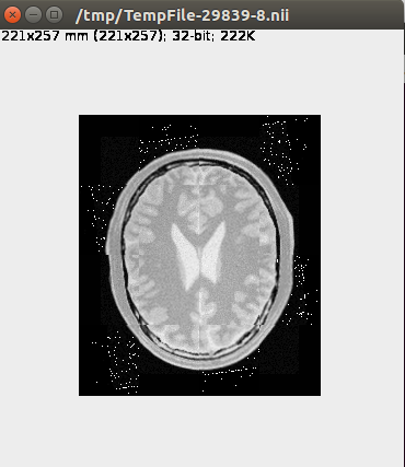
I use this to get the boarder image
resultImage=sitk.ReadImage("affine_result.png",sitk.sitkFloat32)
fixedImage=sitk.ReadImage("BrainProtonDensity.png",sitk.sitkFloat32)
sitk.Show(sitk.CheckerBoard(fixedImage, resultImage))

To me that looks like a successful registration. Can you elaborate why this is not a good result?
It is not as good as (has obvious rotation in result image) the one shown in your example: https://github.com/SuperElastix/SimpleElastix/blob/develop/Documentation/Sphinx/AffineRegistration.rst
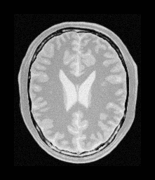
Could you please use these 2 PNG images (from your example) to do a registration on your side, and post your result image? I am afraid I did something wrong. Thanks!
fixed:

moving

Mhm, I do agree that the registration is result is not as good as it could have been. Maybe you can increase the NumberOfSpatialSamples or MaximumNumberOfIterations.
With all due respect I don't have time to run registrations myself at the moment.
Thanks for your help!
I have the same problem when trying to reproduce the example results. Did you solve it? @ @ @mit10000 Thank you.
No, did not solve it.
On Fri, Jul 19, 2019 at 2:25 AM yyd1029 [email protected] wrote:
I have the same problem when trying to reproduce the example results. Did you solve it? @ @ @mit10000 https://github.com/mit10000 Thank you.
— You are receiving this because you were mentioned. Reply to this email directly, view it on GitHub https://github.com/SuperElastix/SimpleElastix/issues/268?email_source=notifications&email_token=AIRQ5PVTQMMUMIL4SIMTISDQAFM5ZA5CNFSM4GXJNOS2YY3PNVWWK3TUL52HS4DFVREXG43VMVBW63LNMVXHJKTDN5WW2ZLOORPWSZGOD2KWSHY#issuecomment-513108255, or mute the thread https://github.com/notifications/unsubscribe-auth/AIRQ5PSQSX3CWXKGT4Z5JBLQAFM5ZANCNFSM4GXJNOSQ .
Can you post the elastix log? Use
elastixImageFilter.LogToConsole()to generate the log.The salt noise is indeed an artifact of casting the float image to an unsigned int image. You can use
sitk.RescaleIntensity()to remove this artifact.It is difficult to grasp the quality of the registration from these. You can use sitk.CheckerBoard(fixedImage, resultImage) to get a better idea. Post the output checkerboard image here and we can look at the results together.
Hi! I've seen in your reply the "sitk.CheckerBoard" option and I would like to know if there are some kind of SimpleElastix guide where we can find all this type of functions.
Thank you very much in advance!