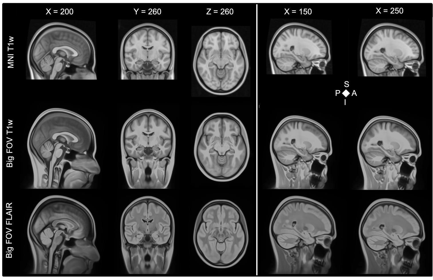
Blurriness in big FOV template
Describe the problem
We have been using ANTs to generate a big FOV template. Specifically we used the recommended settings, such as synStep=0.1, synUpdateVariancePenalty=3, synTotalVariancePenalty=0, genLocalTmp=0.
However, we found that the occipital GM regions look blurry on our template (see attached figure). Is there something you could suggest to avoid this?

To Reproduce cmd+=" -a 1" # write out composite transform cmd+=" -n BSpline" # interpolation cmd+=" --use-histogram-matching 1" # if within modality cmd+=" --winsorize-image-intensities [0.005,0.995]" # clip extreme values cmd+=f" --initial-moving-transform [{reference},{infile},1]" # match by center of mass
# now comes the transformations, rigid first
if doRigid:
cmd+=" --transform Rigid[0.1]"
cmd+=f" --metric {costFunc[0]}[{reference},{infile},1,32,Regular,0.25]"
cmd+=" --convergence [1000x500x250x100,1e-6,10]"
cmd+=" --shrink-factors 8x4x2x1"
cmd+=" --smoothing-sigmas 3x2x1x0vox"
if useMasks:
cmd+=f" --masks [{refMskfile[0]},{inMskfile[0]}]" # put the masks
# then affine
if doAffine:
cmd+=" --transform Affine[0.1]"
cmd+=f" --metric {costFunc[1-(1-doRigid)]}[{reference},{infile},1,32,Regular,0.25]"
cmd+=" --convergence [1000x500x250x100,1e-6,10]"
cmd+=" --shrink-factors 8x4x2x1"
cmd+=" --smoothing-sigmas 3x2x1x0vox"
if useMasks:
cmd+=f" --masks [{refMskfile[1-(1-doRigid)]},{inMskfile[1-(1-doRigid)]}]" # put the masks
# then SyN
if doSyn:
cmd+=f" --transform SyN[{synStep},{synUpdateVariancePenalty},{synTotalVariancePenalty}]"
cmd+=f" --metric {costFunc[2-(1-doRigid)-(1-doAffine)]}[{reference},{infile},1,4]"
cmd+=" --convergence [100x70x50x20,1e-6,10]"
cmd+=" --shrink-factors 8x4x2x1"
cmd+=" --smoothing-sigmas 3x2x1x0vox"
if useMasks:
cmd+=f" --masks [{refMskfile[2-(1-doRigid)-(1-doAffine)]},{inMskfile[2-(1-doRigid)-(1-doAffine)]}]" # put the masks
System information (please complete the following information)
- OS: Linux
- OS version: 3.10.0-1160.59.1.el7.x86_64 | 1 SMP Tue Feb 22 10:57:56 CST 2022
- Type of system: HPC cluster
ANTs version information
- ANTs code version: 2.3.1.dev159-gea5a7
- ANTs installation type: Compiled from source
Additional information
Are you not using the antsMultivariateTemplateConstruction.sh / antsMultivariateTemplateConstruction2.sh scripts?
No, we were not using those. Do you ha[[en to have advice on our approach? Kind wishes, Barbara
So I'm guessing that you're registering a bunch of images to the MNI template and averaging the result. If so, it's a perfectly reasonable approach but this would not be considered an "ANTs template." Although you're capturing the intensity variation in your population, the shape variation is completely ignored (as well as the intensity sharpening which does help with some blurriness). For your specific issue of blurriness, I would look at each individual image warped to the MNI template space and see how well each image is aligned in occipital region.